Cobertura AHA 2022
Saideira de 2022 com a melhor cobertura nacional
Último grande congresso do ano
Semana passada aconteceu, em Chicago, o American Heart Association's (AHA) Scientific Sessions 2022.
Após um ano repleto de congressos e grandes trials, finalmente chegamos no que parece ser a saideira do ano.
Até porque, a partir de domingo, só teremos uma coisa na cabeça: COPA DO MUNDO 🏆 .
Enquanto esse momento não chega, trouxemos o que tivemos de melhor em estudos apresentados no congresso 🤓.
Primeiro dia:
A estreia no congresso começou com o pé direito para o grupo das miocardiopatias e tratamento de IC.
O trial IRONMAN demonstrou benefício da administração intermitente de derisomaltose férrica (Monofer®) em pacientes com FEVE<45%, transferrina <100 mcg/L e saturação de transferrina<20%.
Aberto, randomizado.
Seguimento médio: 2,7 anos
Resultado: menor ocorrência de morte e hospitalização: 22,4/100 pacientes-ano (Reposição de Fe) x 27,5/100 pacientes-ano (Controle).
Além dele, o estudo COACH demonstrou a importância e benefício de uma abordagem sistemática hospitalar para tratamento da insuficiência cardíaca descompensada.
Randomização por grupos
Intervenção: hospitalização breve (< 3 dias) com retorno precoce agendado para pacientes com baixo e moderado risco;
Em 30 dias, houve redução de morte e hospitalização por IC no grupo tratado segundo o protocolo: 12,1% x 14,5% (HR 0,88; 95% CI: 0,78-0,99)
Em 20 meses, manteve-se o benefício: 54,4% x 56,2% (HR 0,95; 95%CI: 0,92-0,99)
Ainda nessa linha, o PRO-HF demonstrou que a coleta de sintomas relatados pelos pacientes através da aplicação do questionário KCCQ-12 auxilia o médico assistente a compreender o estado clínico do paciente e melhorar desfechos.
Dizem que panela velha é a que faz comida boa. Então vamos às frustrações científicas do D1:
TRANSFORM-HF Trial: a administração ambulatorial de Torsemida apresentou resultados (morte e internação por IC) iguais aos pacientes que receberam Furosemida: 47,3% x 49,3%, respectivamente, em 12 meses. Bom… Seguimos com a boa e velha Furo.
DCP Trial: Clortalidona não reduziu desfechos (MACE) em comparação com Hidroclorotiazida no tratamento de pacientes hipertensos. Olha a HCTZ dando para o gasto.
PROMINENT Trial: mais um KNOCK-DOWN a favor das estatinas. Ou seria knock-out? O derrotado da vez foi o Pemafibrato. Apesar da seleção de pacientes diabéticos com HDL-c < 40mg/dl e TG entre 200 a 499 mg/dl, o fibrato não reduziu desfechos primários (morte, IAM, AVC ou revascularização miocárdica).
Segundo dia:
Esse foi o dia dos opostos: foram lançados grandes trials relacionados a intervenção e cirurgia, mas também grandes estudos de prevenção cardiovascular.
Um dos mais badalados do dia foi o ECMO-CS, que objetivou avaliar o benefício do uso precoce da ECMO-VA vs tratamento conservador inicial em pacientes em choque cardiogênico (estágios D e E da SCAI).
Estudo multicêntrico e open-label, que randomizou 117 pacientes com IC FER (FEVE ≤ 35%) em choque cardiogênico para as duas terapias.
O desfecho primário foi composto por morte por todas as causas, necessidade de outro dispositivo de suporte circulatório ou parada cardíaca revertida.
Após um seguimento de 30 dias, não houve diferença entre os grupos (HR 0,72; IC 95%: 0,46 - 1,12; P=0,21).
Aos fãs de cardiologia intervencionista, ainda saíram:
STRESS Trial - uso profilático da metilprednisolona no pós-operatório de crianças submetidas a cirurgia cardíaca não demonstrou benefício;
RAPCO Trials - uso da artéria radial na revascularização miocárdica demonstrou redução de desfechos quando comparado à veia safena e ao enxerto livre da mamária interna.
BRIGHT-4 - uso da bivalirudina após angioplastia primária no IAMcSST reduziu taxas de mortalidade geral e sangramento quando comparado à heparina.
ISCHEMIA Extend - seguimento por 5,7 anos do estudo ISCHEMIA manteve sem diferença entre intervenção vs tratamento conservador em pacientes com isquemia moderada a importante para morte por todas as causas.
Agora falando de prevenção cardiovascular: foi publicado o EMPA-KIDNEY, que, como o próprio nome sugere, avaliou o benefício da empagliflozina 10 mg/dia em pacientes com doença renal crônica (DRC), incluindo:
Taxa de filtração glomerular (TFG) entre 20-45 mL/min/1,73m² ou
TFG entre 45-90 mL/min/1,73m² + razão albumina /creatinina ≥200 mg/g.
No fim, mais uma vitória dos iSGLT2: demonstrou redução em mortalidade cardiovascular ou progressão de DRC (HR: 0,72; IC95%: 0,64-0,82; P<0,001).
Além dele, o OCEAN(a)-DOSE Trial randomizou pacientes com DAC e lipoproteína(a) > 150 nmol/L para receber olpasiran em diversas doses vs placebo. Conseguiu demonstrar uma redução significativa dos níveis da lipoproteína.
Porém, ainda não sabemos os benefícios clínicos.
Ufa! Vamos ao terceiro dia?
Terceiro Dia:
Bem moderninhos. Começamos o passeio pelo D3 constatando a evolução do Digital Health na cardiologia!
O trial ENHANCE-AF demonstrou os efeitos de uma nova ferramenta digital de tomada de decisão compartilhada entre paciente e médico (SDM) na redução do conflito de decisão do paciente com FA em ACO em comparação com o atendimento usual.
O AF SDM Toolkit incluía:
um breve vídeo animado;
perguntas interativas com respostas;
um questionário para verificar a compreensão;
uma planilha para ser utilizada pelo paciente durante o atendimento;
um guia online para médicos.
Importante: apesar do benefício observado quanto à redução do conflito decisório, os efeitos do tratamento diminuíram na análise de 6 meses.
Também no D3 foram apresentados os resultados do estudo PRECISION, que constatou que o duplo antagonismo do receptor de endotelina (aprocitentana) melhora o controle da PA em pacientes com hipertensão resistente.
Seguimos com boas notícias para os amantes da hipertensão resistente: o estudo BrigHTN evidenciou redução significativa e substancial da PAS e PAD com o baxdrostat, um inibidor de síntese de aldsterona.
Só nomes fáceis dessas novas medicações rsrs
Como nem tudo são flores, tivemos um estudo negativo no cenário de hipertensão resistente: o estudo SPYRAL HTN-ON MED não atingiu o desfecho primário de eficácia de alteração na MAPA de 24 horas aos seis meses após denervação renal, comparada com sham procedure (simulação).
Outro tópico muito avaliado no D3 foi a prevenção da perda de membros por meio de intervenções vasculares e terapias venosas. Confira:
BEST-CLI Trials: pacientes com isquemia crônica e doença arterial periférica infrainguinal tiveram uma incidência significativamente menor de um evento adverso maior de membro ou morte quando designados para cirurgia de bypass em comparação com aqueles designados para o procedimento endovascular.
Ainda fizeram uma avaliação de qualidade de vida, na qual demonstraram redução dos escores de dor para todos os participantes.
PREVENT-HD Trial: início precoce da rivaroxabana, prescrita por 35 dias em pacientes não hospitalizados com COVID-19 sintomático, não reduziu um desfecho composto de eventos trombóticos venosos e arteriais, hospitalização e morte.
Vem cá, 2 minutinhos
Pesquisa
Sim, pedimos a você dois minutos do seu tempo para responder nosso questionário, para entendermos melhor quem são vocês e como podemos melhorar o nosso trabalho.

Já somos MIL CORAÇÕES AZUIS 💙 se atualizando semanalmente com tudo que acontece na cardiologia, no Brasil e no Mundo.
Contamos com você e a sua opinião para continuarmos crescendo, juntos.
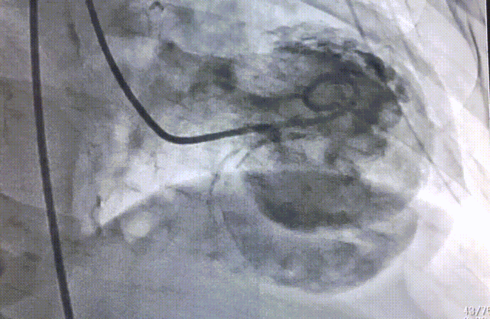
Imagem da Semana

Mais um da série de CATEs temíveis aqui na DozeNews. Paciente com quadro de infarto agudo do miocárdio com supra de ST, complicado com comunicação interventricular (a famosa CIV) - observe o contraste chegando ao ventrículo direito.
Fique por dentro
⚡️ Estudo publicado no NEJM demonstrou menor recorrência de fibrilação atrial com a realização de crioterapia versus tratamento com antiarrítmicos em pacientes com FA paroxística.
📝 O ACC atualizou o seu fluxograma de avaliação e manejo da dor torácica aguda.
⚡️ Novas técnicas de desfibrilação demonstraram benefício em relação a alta hospitalar em paciente com TV refratária quando comparadas aos métodos convencionais.
⚡️ Olha a denervação renal voltando aos holofotes! Estudo publicado no JACC demonstrou melhor controle da PA e tempo dentro da meta pressórica (sugerindo benefício em eventos cardiovasculares) após a denervação.
👎 Estudo do JAMA demonstrou não haver redução de mortalidade ou hospitalizações com a realização de terapia endovascular precoce, quando comparada com tratamento medicamentoso, em pacientes com dissecção de aorta Stanford B não complicada.
🩸 HOST-EXAM extended study (5 anos): prevenção de desfechos duros em pacientes com monoterapia com Clopidogrel em comparação com AAS após 1 ano da angioplastia.




