Controle de ritmo na FA • Hipertensão e gestação • CATE na SCA sem supra • Revolução na ortopedia
E os eletrofisiologistas abrem sorrisos
Fibrilação Atrial (FA). Ame-a ou odeie-a.
Artigo de Revisão
Há anos os cardiologistas clínicos enchem a boca para falar que quando se trata de FA, o controle da FC é suficiente.
Se é tão fácil assim, porque o JACC lançou um State-of-the-Art revisando as opções de tratamento da FA?
Vamos entender:
Nos últimos anos, alguns estudos já demonstram benefícios com a manutenção do maior tempo de ritmo sinusal.
A mudança dos ventos a favor do controle de ritmo foi possível pela evolução da terapia de manutenção farmacológica e, principalmente, da técnica de ablação.
Ok, mas então quando pensar em reverter? O artigo cita situações que favorecem o controle de ritmo:
pacientes jovens (< 65 anos);
poucas comorbidades;
átrio esquerdo com tamanho normal ou pouco aumentado;
poucas alterações estruturais cardíacas.
Já entendeu né? Diagnosticar a FA na fase inicial e antes do seu remodelamento estrutural progressivo é o ideal para pensar em tentar o controle de ritmo. Lembre-se: FA gera mais FA.
Assim, objetivar o ritmo sinusal de forma precoce parece ser o foco para a sua terapêutica no futuro (alô, eletrofisiologistas 🤑).
Qual a meta de PA na hipertensão gestacional?
Ensaio Clínico Randomizado
Sabe aquela conduta que você segue, mas nunca se perguntou de onde saiu? Hipertensão na gestante é isso: a gente controla, mas ninguém havia provado um ponto de corte.
A resposta veio na última edição do ACC 2022 (tem resumo no DozeCast!) e agora, em artigo recém publicado no NEJM: CHAP trial.
Será que vale a pena já tratar objetivando valores abaixo de 140x90mmHg?
Estudo randomizado, no qual separaram dois grupos: conservador (até 160x105 mmHg) ou terapia medicamentosa almejando < 140x90 mmHg.
O desfecho primário composto incluía importantes eventos relacionados à gestação:
pré-eclâmpsia
parto prematuro
descolamento de placenta
morte fetal ou neonatal.
Houve redução significativa da incidência do desfecho composto no grupo com controle mais rigoroso da PA: 30,2% vs 37% (p <0,001).
Já fazia isso no consultório? Parabéns, mudei nada na sua vida, continue assim.
Se era mais permissivo, hora de otimizar um pouco mais a terapia anti-hipertensiva.
Síndrome coronariana aguda sem supra de ST: qual o “timing” do cateterismo cardíaco?
Metanálise
As diretrizes falam: IAM sem supra de ST é indicação de estratégia invasiva.
Até aí, ok. Quando perguntamos o momento ideal para o CATE é que enrola.
Será que é melhor intensificar terapia clínica para melhores condições antes do CATE ou devemos sempre focar em uma revascularização o mais precoce possível?
Saiu no European Heart Journal a mais nova metanálise sobre o assunto (com direito a um excelente editorial).
Foram incluídos 17 estudos, com 5215 pacientes recebendo estratégia invasiva precoce (tempo médio de 3,43h) e 4994 estratégia invasiva retardada (tempo médio de 41h).
Resultados:
Sem diferença em mortalidade geral (desfecho primário)
Sem diferença em IAM, hospitalização por IC ou nova revascularização
Redução de isquemia recorrente - com relato de risco de viés
Conclusão: não foi encontrado nenhum benefício duro na estratégia invasiva mais precoce nos pacientes com SCA sem supra de ST.
Calma, senhores. Não foi avaliado o impacto do CATE precoce em um GRACE ≥ 140 (demonstrado benefício em ECRs prévios) ou a partir de outros estratificadores de risco.
O que podemos tirar disso tudo? Devemos continuar seguindo as orientações das diretrizes, porém com uma preocupação um pouco menor quando a logística do serviço ou o sistema de saúde não permitem um CATE precoce (a realidade do SUS rs).
A residência médica e os seus riscos para a saúde mental
Caiu na mídia
Só observo você que pulou todas as notícias científicas e caiu aqui para ler a fofoca (errado? Não está). Para você que está perdido, vou explicar:
O grupo de R1s da residência de ortopedia da Unicamp solicitou desistência do programa de residência de forma conjunta.
Por motivos óbvios, isso deu muito o que falar na última semana. Não vem ao caso discutirmos certo vs errado, mas sim lembrar da importância da saúde mental na medicina, e, principalmente, dentro das residências médicas.
Revisão sistemática de 2018, que envolvia quase 5000 residentes já apresentava números estrondosos de quase 35% de prevalência de burnout (com vitória óbvia para as especialidades cirúrgicas - GO; ortopedia; cirurgia geral).
A cardiologia, obviamente, é linda e não sofremos esse tipo de problema (rsrs). Estudo do JACC observou uma prevalência de burnout em quase 25% dos cardiologistas avaliados.
Isso não é pouca coisa, concorda? E sabemos que o problema muitas vezes se inicia na residência. Por isso, precisamos lembrar da saúde mental.
"Cuide do residente, ele é o amor de alguém"
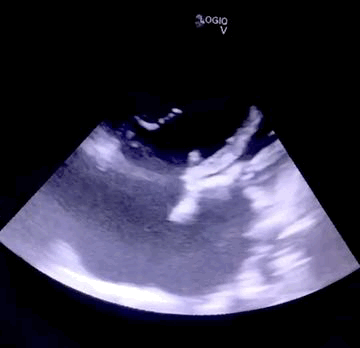
Imagem da Semana

Paciente de 60 anos, acompanhava no ambulatório de cardiopatias congênitas (perdeu seguimento). Havia recusado tratamento cirúrgico de uma CIA. E deu nisso: disfunção de VD e comprometimento do VE reflexo das altas pressões nas câmaras direitas.
Fique por dentro
🧒🏼 Revisão na JACC de 3 registros envolvendo 20.000 pacientes avaliou validade do escore de cálcio para estratificação risco cardiovascular na população jovem assintomática.
⏮ Revisão fisiopatológica e de achados de imagem sobre remodelamento do ventrículo esquerdo após IAM no European Heart Journal.
💁♀️ Convocação da AHA para identificar e remover barreiras de acesso a saúde e qualidade do atendimento em mulheres.
🚨 Hora de dar valor para a sua manobra de ressuscitação! Revisão sistemática do JAMA mostrou que pacientes vítimas de PCR extra-hospitalar que sobreviveram teria uma sobrevida média em 10 anos acima de 60%.
🫀 Para os entusiastas do transplante cardíaco (assim como alguns integrantes da Doze por Oito), obrigatório conferir essa revisão sistemática sobre o manejo da IC avançada. Nele você vai encontrar conceitos de terapia médica otimizada, diureticoterapia, inotrópicos e cuidados paliativos nessa população.
🫁 Os fenômenos vasculares se tornaram conhecidos entre os acometidos pelo COVID-19. Nessa análise epidemiológica britânica, publicada no BMJ, o COVID-19 foi fator de risco impactante, reforçando o maior cuidado para tais condições nesses pacientes.
🏥 Todo mundo gosta de um escore né? Saiu no The Lancet uma calculadora de risco de hospitalização por insuficiência cardíaca (em pacientes sem hospitalização prévia).





