Mais um capítulo da saga revascularização vs. tratamento clínico
Uma edição com polêmicas no universo das coronárias
Você verá nesta edição:
🫀 ISCHEMIA trial – Revascularização melhora angina e qualidade de vida.
❤️ Infarto em debate – EHJ questiona a definição universal do IAM.
🌿 Coronária anômala – Coorte suíça avalia repercussão hemodinâmica.
⌚ Apple Watch 11 – Novo recurso alerta para hipertensão com aval da FDA.
📚 Fique por dentro – Miocardite fulminante, IM secundária, POCUS na congestão, revisão sobre CMH, ablação cardioneural e recuperação no UK Mini Mitral.Sempre ele, ISCHEMIA trial
Subanálise ISCHEMIA trial (Circulation)
Desde a sua publicação, o ISCHEMIA Trial segue sendo discutido insistentemente. Nesta semana, tivemos mais um capítulo em forma de publicação no Circulation Journal.
Desta vez a avaliação de angina e qualidade de vida foi o enfoque dos pacientes submetidos à revascularização em comparação com o tratamento clínico em pacientes com DAC obstrutiva (não TCE) e presença de isquemia em teste funcional.
Primeiro, vamos relembrar os grupos estudados:
2232 pacientes submetidos ao tratamento clínico otimizado somente (TCO);
1198 pacientes submetidos a angioplastia coronariana (ATC);
340 pacientes submetidos a cirurgia de revascularização (CRM).
E quais foram os desfechos observados?
Melhora do status de saúde dos pacientes submetidos à intervenção (tanto ATC quanto CRM) - aumento de pontos correlaciona-se com melhora da qualidade de vida.
Em 1 ano: 9,9±18,1 (TCO), 15,7±19,3 (ATC), e 16,1±19,1 (CRM)
Em 3 anos: 9,9±18,1 (TCO), 15,7±19,3 (ATC) e 16,1±19,1 (CRM)
Melhora de angina nos grupos ATC quanto CRM em relação ao TCO. Pacientes livres de angina:
Em 1 ano: 61,4% (TCO), 73,3% (ATC), and 82,4% (CRM)
Em 3 anos: 70,4%(TCO), 76,1% (ATC) , 81,4% (CRM).
Obs.: no primeiro ano houve maior redução de angina do grupo CRM em relação ao ATC que não se manteve no 3º ano de seguimento.
As inúmeras discussões, subanálises e reinterpretações sobre os resultados do ISCHEMIA Trial exemplificam como é complexo o tratamento da DAC.
O fato é: por ora, seja você mais conservador ou mais liberal na indicação de revascularização do miocárdio há respaldo racional para ambas as abordagens. O importante é compreender os riscos e potenciais benefícios da conduta a ser seguida. Aguardamos as cenas do próximos trials sobre o tema.
Infarto: é hora de uma nova identidade?
Grande debate (EHJ)
Um dos artigos mais quentes do European Heart Journal acaba de colocar na mesa uma discussão que pode mudar a forma como diagnosticamos e classificamos o infarto do miocárdio (IAM).
O trabalho “Great Debate: the universal definition of myocardial infarction is flawed and should be put to rest” questiona se a Definição Universal de Infarto (UDMI), na sua quarta edição, ainda cumpre seu papel clínico ou se está, na verdade, confundindo mais do que ajudando.
O que está em jogo?
Para os críticos, as categorias atuais de infarto (tipos 1 a 5) são excessivamente complexas, especialmente os tipos 2, 4 e 5. Isso pode gerar diagnósticos imprecisos e condutas equivocadas, como tratar um paciente com “IAM tipo 2” (mismatch oferta-demanda) com a mesma agressividade de um tipo 1 (aterotrombótico).
Para os apoiadores da definição atual, apesar das limitações, a definição trouxe avanços incontestáveis: padronizou critérios, impulsionou pesquisas, orientou codificação no CID e foi incorporada em ensaios clínicos e diretrizes globais.
O cerne do debate:
IAM tipo 2: heterogêneo, difícil de manejar, sem conduta clara baseada em evidências.
Tipos 4 e 5 (periprocedurais): critérios arbitrários para troponina que atrapalham comparações entre estudos e confundem prática clínica.
Os autores da proposta de revisão sugerem simplificar: restringir o tipo 2 apenas a causas coronárias (como SCAD, embolia, vasoespasmo) e reclassificar outros quadros como “injúria miocárdica”.
O jeito como definimos impacta diretamente no tratamento, na pesquisa e até em indicadores de qualidade hospitalar. Classificar errado pode levar tanto a overtreatment (antitrombóticos em excesso) quanto a undertreatment (subvalorização de risco real).
O artigo não sepulta a definição universal, mas acende o alerta: precisamos revisitar nossos conceitos para que definição e prática caminhem juntas. Afinal, de que adianta uma definição universal se ela não ajuda o médico na beira do leito?
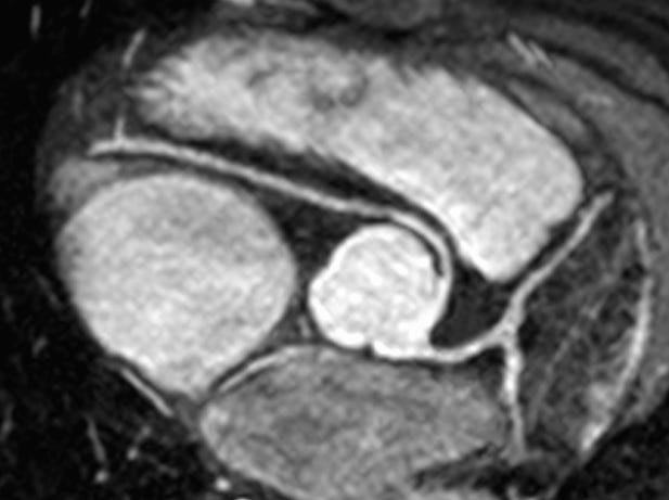
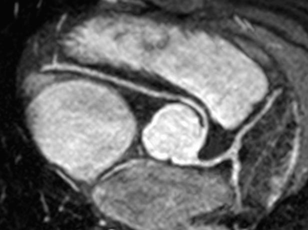
Coronária que nasce torta se endireita?
Coorte (JAMA)
Já diria a famosa frase do É o Tchan: “pau que nasce torto nunca se endireita”. E coronária que nasce “torta” deve continuar assim ou devemos intervir?
Pois é, a grande dúvida quando falamos da origem anômala da coronária direita com trajeto interarterial é a sua repercussão hemodinâmica e a indicação de intervenção em todos os casos.
🧭 Está perdido? Calma…
Coronárias que se originam de forma anômala no seio contralateral, podem cursar com um trajeto interarterial, ou seja entre a aorta e artéria pulmonar. Assim, situações de estresse físico nas quais há aumento do fluxo arterial podem levar à compressão da artéria coronária de forma dinâmica.
No entanto, muitos pacientes são assintomáticos ao longo de boa parte da vida, e questiona-se a repercussão hemodinâmica e o risco de eventos nessa população.
Um grupo suíço resolveu testar a força da imagem não invasiva. Eles estudaram 55 adultos com origem anômala da CD no seio coronário esquerdo e fizeram a sequência completa: angioTC, imagem nuclear (cintilografia (SPECT) com estresse físico ou PET com dobutamina) e FFR-dobutamina (este como referência para comparação).
O que acharam?
Cerca de 27% tinham repercussão hemodinâmica real (FFR ≤ 0,8).
A angioTC mandou muito bem: se o menor diâmetro no óstio tinha ≥1,8 mm, a sensibilidade foi de 100% e o valor preditivo negativo também.
Traduzindo: se a TC detecta pouca compressão no óstio, é um bom preditor para não ter repercussão.
Já a imagem nuclear teve um papel diferente: pegou só 27% dos casos com repercussão, mas quando positiva foi certeira (100% específica).
Na prática, o estudo sugere um fluxo em etapas: começa pela TC para excluir, considera imagem funcional se persistirem dúvidas, e deixa o invasivo só para a minoria que realmente precisa.
Limitações? Sim: estudo único, só em adultos, focado na coronária direita. Mas já abre caminho para repensar a nossa investigação e manejo dos pacientes com origem anômala de coronárias.
Vale a leitura!
A nova aposta da tecnologia contra a hipertensão
Caiu na Mídia
Um dos lançamentos no último grande evento Apple chamou atenção da cardiologia: o Apple Watch Series 11 e o alerta de hipertensão.
O póbi do plantonista não tem 1 minuto de paz rs.
Pela primeira vez, um smartwatch promete rastrear sinais de pressão alta sem precisar de manguito.
O funcionamento é simples na teoria, mas sofisticado nos bastidores: o sensor óptico coleta dados contínuos da frequência cardíaca e da resposta dos vasos sanguíneos. Esses sinais são processados por um algoritmo de machine learning ao longo de 30 dias; se surgirem padrões compatíveis com hipertensão, o relógio dispara uma notificação.
Mais do que marketing, o recurso já tem selo da FDA (a agência regulatória dos EUA) e será liberado com o watchOS 26 em mais de 150 países, não apenas no Series 11, mas também no Series 9, 10 e nos modelos Ultra 2 e 3.
⚠️ Importante: ele não substitui a aferição com esfigmomanômetro, mas pode se tornar um grande aliado no rastreamento populacional e no diagnóstico precoce da doença mais comum do consultório.
E a Samsung? A gigante coreana já oferecia algo parecido nos seus Galaxy Watch, mas de outra forma: é possível medir pressão arterial usando o app Health Monitor, desde que o relógio seja calibrado previamente com um manguito externo. Depois da calibração, o sensor ótico faz estimativas de pressão, mas exige nova calibração periódica (cerca de a cada 28 dias) e funciona de forma “sob demanda” — ou seja, só quando o usuário aciona. Diferente do modelo da Apple, não há um sistema automático de alerta baseado em análise prolongada.
No fim das contas, estamos vendo um movimento histórico: os smartwatches começam a sair do território fitness e a entrar no campo clínico, com respaldo científico e regulatório.
Para médicos e pacientes, abre-se uma nova frente: a de ter a hipertensão monitorada silenciosamente no pulso, antes mesmo que os sintomas apareçam.
Fique por dentro
🫀Miocardite fulminante: o que temos a aprender com registro europeu multicêntrico?
🎯 Moderada, mas não irrelevante! A insuficiência mitral secundária moderada é comum na insuficiência cardíaca e se associa a pior prognóstico. Revisão destaca seu potencial benefício com tratamento, inclusive percutâneo, como sugerido pelo estudo RESHAPE-HF2.
🔈 Quem não ama um POCUS para avaliação veia cava? No estudo CAVA-ADHF-DZHK10, o uso diário de ultrassom da veia cava inferior para guiar a terapia de descongestão em pacientes com insuficiência cardíaca aguda não foi superior à avaliação clínica isolada na redução do NT-proBNP na alta.
💊 Atenolol: velho conhecido, mas não o preferido. Revisão sistemática comparando o atenolol a outros anti-hipertensivos de primeira linha mostrou eficácia semelhante na redução da pressão arterial, mas com discreto aumento de eventos cardiovasculares em relação a anlodipino, losartana e diuréticos. O beta-bloqueador segue como opção válida, mas perde espaço como primeira escolha.
📝 O NEJM e suas grandes revisões. O tema da vez foi a cardiomiopatia hipertrófica!
😵💫 Uma solução para a síncope vasovagal? O maior registro multicêntrico americano sobre ablação cardioneural mostrou que o procedimento é seguro e eficaz para pacientes com síncope vasovagal recorrente ou bradicardia funcional. Após 14 meses, 78% dos pacientes ficaram livres de síncope e 97% não precisaram de marca-passo.
🔪 Recuperação acelerada com cirurgia minimamente invasiva! Subanálise do UK Mini Mitral trial mostrou que pacientes operados por minitoracotomia voltam a se movimentar mais cedo e ficam menos tempo sedentários do que os submetidos à esternotomia. Dados de acelerômetros confirmam: menos corte, mais atividade!






Ótimo texto, tragam mais conteúdo assim!!