O paradoxo dos atletas
A redução de seio na cardiologia e o modo pro do intensivista
Choque misto: o nível hard do intensivista
Artigo de Revisão (JACC)
Sabe aquele paciente com choque cardiogênico que resolve apimentar a situação com vasodilatação? Ou aquele séptico que joga na mesa uma disfunção miocárdica? É, amigo, agora a coisa ficou séria.
É exatamente dessa situação que trata o artigo de Jentzer et al. publicado no JACC Advances: o temido choque misto. Vamos ao que interessa:
1. O que é isso?
Choque misto acontece quando o paciente mistura as características do choque cardiogênico e vasodilatório.
Na linguagem hemodinâmica é a associação de uma queda do débito cardíaco + uma resistência vascular sistêmica (RVS) baixa + pressões de enchimento ventricular normais ou elevadas.
Pode surgir de três formas:
Cardiogênico-vasodilatório: começa com o problema cardíaco (ex.: IAM) e evolui com vasoplegia.
Exemplo: qualquer condição que leve a um choque cardiogênico (ex.: IAM ou IC descompensada) que evolui com um quadro infeccioso.
Vasodilatório-cardiogênico: inicia como choque séptico, mas evolui com disfunção cardíaca.
Primário misto: uma única causa faz a bagunça geral (ex.: síndrome pós-parada cardíaca).
2. Diagnóstico na veia:
Monitorização hemodinâmica é essencial. Um cateter de artéria pulmonar é o padrão-ouro na avaliação do débito cardíaco, RVS e pressões de enchimento.
Exames complementares: ecocardiograma, biomarcadores cardíacos e marcadores inflamatórios.
4. Tratamento:
Vai envolver 2 frentes: uso de vasopressores (em especial a noradrenalina, com a vasopressina e a hidrocortisona como possíveis adjuvantes) para aumento do tônus vascular + inotrópicos com o objetivo de melhorar o débito cardíaco para restaurar a perfusão tecidual.
Vale destacar o papel da dobutamina como principal inotrópico, porém sob o risco de piorar a vasodilatação, devemos ter a adrenalina em doses baixas (até 0,1 mcg/kg/min) como alternativa.
Dispositivos de assistência ventricular podem ser usados em casos mais graves.
Em cenários de falência refratária, o ECMO VA surge como opção de resgate para estabilização hemodinâmica.
Por fim, em um cenário tão grave, ainda faltam pesquisas para definir critérios claros, identificar biomarcadores e otimizar o manejo desse grupo de altíssimo risco.
Enquanto isso, o segredo é monitorização hemodinâmica invasiva e ajuste fino de terapias baseadas na dinâmica do paciente.
A figura a seguir traz um interessante resumo do manejo do choque misto:
Atividade física e aterosclerose coronária: o paradoxo dos atletas
Artigo de Revisão (EHJ)
Um estudo recente publicado no European Heart Journal levanta uma questão intrigante: será que atletas de alta performance estão imunes à aterosclerose coronária?
🤓 Entenda:
Apesar dos benefícios bem documentados da atividade física regular na prevenção de doenças cardiovasculares, dados recentes indicam que exercícios intensos e prolongados podem, paradoxalmente, acelerar a calcificação coronária em atletas de meia-idade, especialmente homens.
Vamos aos principais pontos apresentados no artigo:
Atletas de resistência apresentam maior prevalência de placas calcificadas, mas com composição considerada menos vulnerável, sugerindo que o exercício promove calcificação estabilizadora.
Mulheres atletas parecem menos propensas a desenvolver aterosclerose acelerada, com diferenças atribuídas a fatores hormonais e características anatômicas.
O risco de morte súbita cardíaca em atletas com mais de 35 anos está majoritariamente relacionado à doença arterial coronária (DAC), mas exercícios continuam reduzindo a mortalidade geral.
Quais as recomendações em meio a esse cenário?
Estratégias preventivas devem combinar a continuidade do exercício com intervenções dietéticas e farmacológicas (como terapia para redução do colesterol).
A decisão sobre revascularização ou outras intervenções deve ser compartilhada, considerando o perfil do atleta e a presença de isquemia ou sintomas.
Esse estudo reforça a complexidade do impacto do exercício na saúde cardiovascular.
Embora o fitness continue sendo um aliado poderoso contra eventos cardíacos, é essencial individualizar avaliações e manejo para atletas de alta performance!
Não há mais desculpa: é hora de aprender os fundamentos da MEV
Publi
A orientação de mudança de estilo de vida (MEV) é apenas uma das mais de 80 técnicas validadas pelas ciências do comportamento. Sozinha, ela é eficaz para não mais do que 10% dos pacientes que se propõe a transformar os hábitos de saúde.
Quer aprender as motivações e barreiras para que seus pacientes de fato mudem o estilo de vida?
A MEVBrasil - maior escola de medicina do estilo de país - está promovendo um curso introdutório sobre Ciência da Mudança, com mais de 3h de conteúdo científico (incluindo caso clínico) apresentado pelo Prof Dr Luiz Carlos de Oliveira Jr (RQE 26815), Psiquiatra PhD e Chefe de pesquisa e inovação do HC-UFU/EBSERH.
Obs.: a vigência do curso é só até 2/fev. Não vai vacilar, hein?!
Redução de seio?
Estudo fase 2 (JACC: Cardiovascular Interventions)

Calma, você não está no lugar errado rs… Esta não é uma newsletter de cirurgia plástica!
Estamos falando do redutor de seio coronariano (RSC), local de deságue do sangue da circulação coronariana para o átrio direito.
Este dispositivo, que tem a intenção de aumentar a perfusão em áreas isquêmicas através do aumento da pressão venosa coronariana, já havia demonstrado potencial na redução de angina refratária, em pequenos ensaios clínicos randomizados.
Expandindo essa ideia, foi publicado no JACC um estudo fase 2 de braço único para avaliação da segurança e eficácia do implante do RSC para tratamento de pacientes com angina microvascular.
Para isso, incluiu 30 pacientes com angina microvascular classe funcional III/IV diagnosticado por meio de avaliação invasiva (ou seja, com reserva de fluxo coronariano (CFR) ≤ 2,5; ou aumento ≤ 50% do fluxo coronariano após administração de acetilcolina).
Os resultados foram animadores:
Em uma população majoritariamente feminina (67% eram mulheres) com uma idade média de 54,8 anos, levou a redução significativa da angina de classe funcional IV para II.
Além disso, levou a aumento da reserva de fluxo coronária (de 2,1 (1,95-2,30) para 2,7 (2,45-2,95); P = 0,0011) e melhora da resposta a acetilcolina nos pacientes com disfunção endotélio dependente ( de −11% (−20,15% - 5,85%) para 11,5% (−4,82% - 39,29%); P = 0,042)
O estudo, apesar de pequeno, demonstra melhora clínica e hemodinâmica do fluxo coronariano em pacientes que são difíceis de tratar e muitas vezes mantém queixas, apesar da otimização clínica.
É uma esperança na forma da primeira terapia intervencionista capaz de melhorar a qualidade de vida do paciente com angina microvascular.
Provavelmente surgirão novos estudos de fase III na tentativa de consolidar esta terapia.
“Brainrot”: o mal da década?
Caiu na Mídia

Todos os anos, o Oxford Dictionary escolhe uma palavra para representar os 365 dias que se passaram.
Para você ter uma ideia, alguns vencedores prévios foram “selfie” (2013) e o emoji 😂 (2015).
Em 2024, no entanto, a escolha foi um pouco mais... provocativa. A palavra do ano foi “brainrot”, que poderíamos traduzir como “deterioração mental”.
E, como você já deve ter imaginado, a principal culpada é a internet. Mas calma lá, não vamos colocar toda a culpa na coitada — afinal, ela já faz parte do nosso dia a dia desde os anos 90. O problema não é a internet em si, mas sim o jeito como a usamos.
E é aqui que entra a relação com a cardiologia — e, mais amplamente, com a medicina.
O “brainrot” está ligado a um fenômeno muito familiar: o doomscrolling. Sabe aquela rolagem infinita nos feeds? Ou o hábito de estar online o tempo todo? Pois é, isso consome horas do nosso dia e nos expõe a uma avalanche de conteúdos. O problema? Grande parte desse material parece inofensivo, mesmo que sem sentido.
Mas, acredite: esse excesso de informação afeta negativamente a nossa capacidade cognitiva e nosso bem-estar mental. Estamos, aos poucos, sufocando nosso cérebro.
Se isso já parece ruim, vamos além: o problema não é apenas o excesso de informação. Há também os perigosos conteúdos falsos no meio desse mar de dados. Nunca tivemos que desmentir tantas fake news (sim, aquelas que nos parecem inacreditáveis) para nossos pacientes.
E não para por aí. O que dizer dos estilos de vida perfeitos que consumimos diariamente? Milhares de influencers desfilam suas vidas e corpos impecáveis nas redes — dentro e fora da medicina. Quantos desses padrões são reais? Quantos são, de fato, saudáveis?
A falsa ideia de saúde, baseada em corpos esculturais (e, muitas vezes, sustentada por medicamentos para emagrecer ou hormônios anabolizantes), nos bombardeia diariamente. Isso sem contar os estilos de vida inatingíveis, que pregam produtividade das 4h da manhã às 22h. Já leu seu “devocional” às 5h da matina hoje? rs.
Aqui está a ironia: você está lendo essa reflexão online, em um página que possivelmente descobriu nas redes sociais, criticando o excesso de conteúdo... que veio das redes sociais. Mas essa é exatamente a questão. Não se trata de demonizar as redes, mas de pensar criticamente sobre como usamos essas plataformas.
Que tal transformar o “brainrot” em aprendizado? Apoie criadores que trazem conteúdo de qualidade, e use as redes como uma ferramenta para se informar — não para deixar sua saúde mental à deriva. Afinal, navegar é preciso, mas viver também.
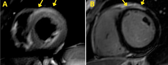
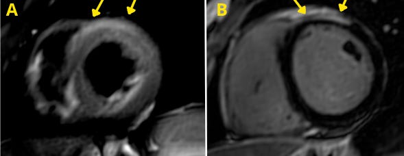
Imagem da Semana
Caso de miocardite aguda avaliado pela ressonância magnética cardíaca e que cumpre os critérios de Lake Louise: presença de hiperssinal em sequência ponderada em T2 (A) + realce tardio subepicárdico no segmento anterior (B).
#DicaDozer:
Quer revisar o diagnóstico e manejo da miocardite aguda com base no último consenso do ACC publicado no fim do ano passado?
Confira a edição da DozeNews Prime:
O primeiro giro de pulbicações do ano 📆
📃 Para começar o ano com tudo! Belíssimo artigo de revisão do NEJM sobre o diagnóstico e manejo da IC FEP.
💊 Como orientar o seu paciente após uma angioplastia? Revisão na JACC Advances destaca três pilares para manejo ideal – mudança de estilo de vida, prevenção secundária e detecção de reestenose, com foco em riscos balanceados e práticas atualizadas.
🔊 Posicionamento do JACC apontado a Ecocardiografia 3D como alternativa promissora à ecocardiografia transesofágica em procedimentos estruturais como punção transeptal, fechamento de dispositivos e intervenções mitrais e tricúspides.
✈ Os fatores de risco do século XXI: Estudo do JACC revela que exposição a níveis elevados de ruído noturno de aviões (≥45 dB) está associada a aumento de 7% na massa ventricular esquerda e redução de 8% na dinâmica miocárdica, fatores que podem quadruplicar o risco de eventos cardiovasculares maiores. .
⚡ Qual o melhor momento para ablação de FA? Ablação precoce da fibrilação atrial (FA) é eficaz, mas o momento ideal depende do perfil do paciente, segundo revisão no European Heart Journal. Em casos de episódios raros e sintomas leves, manejo conservador com modificação de fatores de risco é suficiente. Contudo, se a FA progredir, ablação precoce combinada com controle contínuo dos riscos garante melhores resultados.
🔟 Uma década de evolução no estudo da amiloidose cardíaca em uma interessante revisão do JACC: Cardiovascular Imaging.
🥄 Onde estamos na oclusão apêndice atrial esquerdo? Vai aí mais uma dica de um belo estado-da-arte sobre o tema.
🎼 Discordância entre FFR e testes não hiperêmicos (NPHR) ocorre em até 20% das lesões coronárias e impacta desfechos, aponta o estudo J-PRIDE, publicado no Circulation. Estratégia guiada por FFR mostrou-se superior à baseada em NHPR em lesões discordantes, reforçando seu papel na tomada de decisão clínica.







