O que muda em 10 anos?
A nova diretriz de pericardite, evoluções na estratificação cardiovascular e a nova rainha da função ventricular
Pericardite 2025: o que muda?
Diretriz ACC/AHA
Muita coisa pode mudar em 10 anos. Você pode trocar de cidade, mudar de especialidade, aumentar a família, ou até se aventurar em um novo hobby.
Mas, no mundo da pericardite, entre 2015 e 2025… a verdade é que pouca coisa mudou.
A nova diretriz AHA/ACC 2025 chega uma década depois da ESC 2015 sem reinventar a roda, mas com ajustes importantes: mudanças no diagnóstico, na importância da imagem cardiovascular e no tratamento com os anti–IL-1, que deixam de ser recurso de último caso para entrar mais cedo no manejo.
No diagnóstico, a ESC 2015 pedia dois dos quatro clássicos (dor típica, atrito, alterações difusas no ECG ou derrame pericárdico). Marcadores inflamatórios ajudavam, mas não contavam oficialmente.
Já a AHA/ACC 2025 mudou o raciocínio: dor pleurítica passa a ser obrigatória e basta mais um critério para fechar (pode ser atrito, ECG típico, elevação de PCR/VHS, derrame no eco ou evidência de inflamação pericárdica na imagem (CMR de preferência, CT como alternativa)).
E, ainda, sugerem graduar o diagnóstico: 0 = improvável, 1 = possível, 2+ = definitivo.
A classificação temporal continua praticamente a mesma: aguda (<4–6 semanas), incessante, recorrente e crônica (>3 meses).
Se a ESC 2015 já dizia que eco, TC e RM eram úteis, a AHA/ACC 2025 coloca a imagem no centro do manejo. O ecocardiograma continua como exame de primeira linha, mas a ressonância magnética agora é critério diagnóstico e ferramenta para estratificar e acompanhar resposta ao tratamento, com uso do realce tardio e edema para graduar atividade inflamatória. A TC entra para avaliar espessamento/calcificação ou planejamento cirúrgico.
No tratamento, pouca surpresa: AAS ou anti-inflamatório não esteroidal + colchicina continuam como primeira linha, junto com restrição de exercício.
Corticoide segue evitado na fase inicial, e se precisar, que seja em baixa dose e com desmame lento.
Mas nos casos recorrentes com fenótipo inflamatório, a mudança foi grande: rilonacept e anakinra (anti–IL-1) saem do rodapé e viram segunda linha preferencial, antes mesmo de azatioprina ou imunoglobulina, que seguem como opções.
A constrição pericárdica também ganhou mais espaço. A nova diretriz traz fluxos bem definidos para diferenciar constrição transitória (que pode responder a anti-inflamatório/IL-1) da forma crônica que precisa de cirurgia, sempre em centros experientes.
Em resumo, o que muda para o seu dia a dia?
Suspeitou? Dor pleurítica obrigatória + ≥1 critério (atrito, ECG típico, PCR/VHS alto, derrame, inflamação na CMR/CT) já fecha o diagnóstico.
Imagem certa na hora certa: eco para todos; RM para confirmar inflamação ou graduar atividade; TC se calcificação ou pré-cirurgia.
Feijão com arroz: AAS/NSAID + colchicina. Evite corticoide como primeira linha.
Recorrente/inflamatório? Suba cedo para anti–IL-1.
Constrição: sempre diferenciar transitória (tratar clinicamente) da crônica (cirurgia).
No fim, o que tratar não mudou tanto, mas o como diagnosticar e quando escalar ficou mais preciso. Em 2025, a pericardite é mais sobre ver bem e intervir na hora certa do que reinventar o tratamento.
Arroz com feijão + tempero Dozer?
Artigo de revisão (EHJ)
Na prevenção cardiovascular, todo mundo tem seu prato básico: anamnese bem feita, pressão aferida, colesterol e glicemia no bolso, calculadora de risco pronta para rodar. Funciona, é seguro… mas é chegada a hora de colocarmos um tempero extra nessa receita.
🤔 Entenda o contexto:
Com a descoberta de biomarcadores que ajudam a refinar a estratificação do risco cardiovascular, é impossível não questionar: será que usar apenas as calculadoras, como a da SBC (de 2017, sim… já quase uma década!), ainda nos dá a precisão que necessitamos?
Esse bom e velho “feijão com arroz” da prevenção cardiovascular continua suficiente?
O artigo de revisão publicado no European Heart Journal mostra que alguns ingredientes especiais, como troponina e PCR ultrassensíves e peptídeos natriuréticos, podem transformar o básico em algo mais sofisticado.
Esses biomarcadores ajudam a refinar a estratificação de risco, principalmente naquele paciente que fica no meio-termo da calculadora, onde a decisão de intensificar prevenção ainda é cinzenta.
Eles permitem detectar doença subclínica, prever eventos futuros e, em alguns casos, apontar quem merece prevenção mais agressiva.
Mas não se iluda… o ganho preditivo sobre os modelos tradicionais ainda é modesto.
O que o artigo destaca:
NT-proBNP e troponina superam a PCRus na predição de insuficiência cardíaca e mortalidade.
Combinar marcadores traz informação complementar, e não redundante.
Tecnologias como proteômica e genômica prometem ampliar o poder preditivo no futuro.
O desafio agora é transformar evidência em prática: definir cortes claros, comprovar custo-efetividade e entender quando medir (e repetir) para que o exame mude conduta de verdade.
🎙️ A dica final fica por conta do episódio do DozeCast com a participação do Dr Bruno Mioto sobre a inflamação e o risco cardiovascular.
A Fração de Ejeção mentiu para você
Scientific Statement (Circulation)
Você sempre ouviu que a fração de ejeção (FEVE) era a “rainha” da função sistólica do ventrículo esquerdo. Mas a verdade é que, muitas vezes, ela não conta toda a história, e deixa escapar capítulos inteiros antes do desfecho ruim.
A American Heart Association acaba de publicar um consenso que confirma o que muitos cardiologistas já percebem no dia a dia: a FEVE é boa, mas o global longitudinal strain (GLS) é aquele amigo que chega antes, vê o problema se formando e ainda avisa como lidar com ele.
O documento, liderado por Mihos et al., revisa o papel da ecocardiografia com strain por speckle-tracking na avaliação da estrutura e função do VE. O destaque vai para o global longitudinal strain (GLS), que:
Detecta disfunção subclínica antes da queda da FEVE.
Apresenta melhor valor prognóstico em diversas doenças cardíacas.
Tem alta reprodutibilidade, mesmo entre examinadores com diferentes níveis de experiência.
📝 Principais aplicações clínicas revisadas:
Insuficiência cardíaca: do estágio B (pré-clínico) até a IC com FE reduzida, o GLS refina estratificação de risco e acompanha resposta terapêutica.
Cardiomiopatias: diferencia causas de hipertrofia, identifica padrões como o apical sparing na amiloidose e localiza segmentos com risco arrítmico na cardiomiopatia hipertrófica.
Doença coronária: detecta alterações regionais sutis, inclusive em pacientes com FEVE preservada.
Cardio-oncologia: identifica disfunção precoce induzida por quimioterapia, permitindo cardioproteção antes do dano ser irreversível.
Valvopatias: antecipa o momento ideal da intervenção, mesmo com FEVE normal.
Terapia de ressincronização: auxilia na seleção do melhor local de implante do eletrodo de VE.
Mensagem central: o GLS não substitui a fração de ejeção, mas amplia e antecipa a capacidade de diagnóstico, prognóstico e tomada de decisão. O futuro próximo inclui automação com inteligência artificial, integração com myocardial work e expansão para aplicações não exclusivamente cardiovasculares.
🏅 A DozeNews tem uma Prime completinha sobre o tema! Pra você que é apaixonado por imagem, é uma leitura obrigatória!
Quantos anos tem o seu coração?
Caiu na Mídia
Me conte, doutor(a). Qual a idade do meu coração?
Pode se preparar, pois esse pode ser o primeiro questionamento no seu consultório amanhã.
Tem sido divulgada na mídia a ferramenta publicada no JAMA Cardiology que calcula a “idade biológica do coração”, em um formato mais intuitivo de traduzir o risco cardiovascular.
O método é baseado nas equações do escore PREVENT da American Heart Association e usa dados simples como pressão arterial, colesterol, glicemia, função renal, tabagismo e uso de medicações para estimar se seu coração está mais jovem, igual ou mais velho que sua idade real.
O levantamento com mais de 14 mil americanos revelou um dado preocupante: a maioria tem corações mais velhos que o corpo. Em média, os homens apresentaram +7 anos e as mulheres +4 anos de idade cardíaca, com maior discrepância entre pessoas negras, hispânicas e com menor escolaridade.
O recado dos especialistas é claro: uma diferença de 5 a 10 anos acima da idade cronológica exige atenção e mudanças, seja no tratamento de pressão, colesterol e glicemia, seja no estilo de vida.
Mas nem tudo é perfeito: o cálculo não considera histórico familiar, complicações da gestação, menopausa, nível de atividade física ou até marcadores inflamatórios, fatores também decisivos na saúde cardiovascular.
Do ponto de vista médico, nos parece somente “mais uma” calculadora de risco cardiovascular, que pouco se destaca em relação a outras que já usamos no dia a dia. No entanto, sob o olhar do paciente, pode ser um bom “choque de realidade” para motivar mudanças e acompanhar o envelhecimento do coração ao longo do tempo.
Imagem da semana
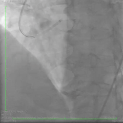
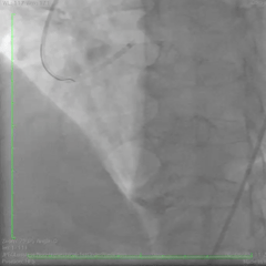
Se alguns têm um TCE, com certeza esse aí é o PAPAI dos TCEs rs.
Uma belíssima origem anômala da coronária direita do tronco da coronária esquerda, vista ao cateterismo cardíaco.
E um Feliz Dia dos Pais para todos os papais Dozers!
Fique por dentro
🧭 Finalmente um guia para o uso da troponina ultrassensível! Muito se fala mas pouco se questiona e muitos erros são cometidos. ESC publica statement sobre o uso de kits de troponina ultrassensível em diversos cenários.
😵 Meias elásticas não evitaram nova síncope vasovagal. Em estudo randomizado com 266 pacientes, o uso de meias compressivas (25-30 mmHg) não reduziu a recorrência nem aumentou o tempo livre de eventos. Houve leve benefício apenas durante o uso ativo.
🫀 Angiotomografia vai além da anatomia: análise avançada prevê risco cardiovascular com mais precisão. Meta-análise com mais de 58 mil pacientes mostrou que recursos como CT-FFR, placas de alto risco, volume de placa e índices de radiômica estão fortemente associados a eventos cardiovasculares maiores.
🔪 Faca de dois gumes! Estudo publicado no EHJ mostra que uso de CPAP pode ser benéfico ou maléfico a depender da classificação de risco da apneia obstrutiva do sono!
🇨🇳 Bundle da ECMO? Esses chineses estão malucos! Pesquisadores de Beijing avaliaram retrospectivamente pacientes tratados com ECMO que atingiram parâmetros gasométricos e hemodinâmicos com resultados clínicos.
🫁 Imunobiológicos para tratamento de asma são seguros para o coração? Calma… Pode continuar prescrevendo. Estudo publicado no The Lancet demonstra menor mortalidade cardiovascular em pacientes com asma tratados com biológicos.
🥊 Golpe duro aos defensores da obesidade saudável. Estudo do The Lancet avalia a relação de assinatura metabólica aterogênica e obesidade.
🤰🏻 Gravidez e cardiopatia grave: combinação que exige preparo máximo. Revisão publicada no JACC propõe abordagem prática e multidisciplinar para o manejo de gestantes criticamente enfermas com doenças cardíacas.
🧬 Placas aos 20 e infarto aos 50? Em pacientes com hipercolesterolemia familiar, isso é realidade. Estudo japonês com 622 pacientes mostrou que homens com HeFH já desenvolvem placas carotídeas aos 17 anos, coronarianas aos 26 e cálcio coronariano aos 31. Nas mulheres, essas alterações aparecem cerca de 10 anos depois.
🔥 O poder da avaliação da inflamação pericoronária. Meta-análise com mais de 10 mil pacientes mostrou que maior atenuação da gordura pericoronária na angiotomografia, especialmente ao redor da coronária direita, se associa a maior risco de eventos cardiovasculares e presença de placas de alto risco.
🔎 Metade dos adultos nos EUA apresenta hipertensão em aferições espontâneas em quiosques de saúde. Estudo com mais de 1,2 milhão de usuários de quiosques entre 2017 e 2024 mostrou alta prevalência de pressão elevada, especialmente entre adultos negros, idosos e moradores de áreas rurais. Os dados reforçam o potencial desses dispositivos como ferramenta de vigilância populacional.









