Um velho duelo com novos dados
Finalmente temos uma resposta para a escolha das próteses mecânicas ou biológicas?
Na edição de hoje:
💥 Mecânica ou Biológica? O duelo das próteses ganha novos dados!
❤️🩹 Cuidados pós-IAM: O risco de IC supera o de um novo infarto?
🤰🏻 Obesidade e ICFEp: Será que o IMC está enganando nossa prática clínica?
🧈 Relatório AHA: A síndrome cardiovascular-renal-metabólica está matando mais do que se imaginava.Mecânica ou Biológica? O velho duelo sob novos dados
Coorte (JACC)
Dos clássicos “duelos” da cardiologia, poucos são tão icônicos quanto a escolha entre próteses valvares mecânicas ou biológicas.
Com a ascensão da terapia transcateter, muita gente já está enterrando as próteses mecânicas…
Mas calma, garotinho! Será que o risco de sangramento pela anticoagulação vitalícia supera o benefício de uma única cirurgia definitiva?
Uma coorte publicada no JACC trouxe faíscas para o debate! O estudo americano analisou mais de 11 anos de dados do Society of Thoracic Surgeons (STS) database, comparando a troca valvar aórtica mecânica vs biológica em pacientes entre 40 e 75 anos.
Os números do duelo:
População: 109.842 pacientes;
Biológica: 94.125 pacientes;
Mecânica: 15.717 pacientes;
Resultado: a prótese mecânica foi superior em termos de mortalidade para pacientes com menos de 60 anos!
Segura essa empolgação! Antes de sair prescrevendo válvula mecânica para todo mundo, vale lembrar: o estudo é retrospectivo e pode ter viés de seleção. Além disso, não dá para extrapolar esses achados para valvopatias mitrais, onde a dinâmica hemodinâmica é outra conversa.
⚔️ O estudo reforça que a escolha da prótese precisa ser compartilhada com o paciente, levando em conta idade, comorbidades e preferências individuais. Para pacientes jovens, a mecânica segue forte no jogo!
2 minutinhos da sua atenção
Sabemos o quanto você ama a DozeNews (não adianta negar rs) 🥹.
Por isso, gostaríamos de pedir apenas 2 minutinhos do seu dia para que você responda o rápido formulário a seguir.
A sua opinião é essencial para tornarmos a DozeNews cada vez melhor!
Cuidados pós-IAM
Coorte (EHJ)
Sobreviveu ao IAM? Ufa, agora é seguir em frente e só prevenir um novo evento?
Calma lá que não é tão simples assim.
Um estudo publicado no European Heart Journal analisou mais de 6.800 pacientes internados com infarto agudo do miocárdio (IAM) e revelou um dado que pode mudar a forma como acompanhamos esses pacientes: o desenvolvimento de insuficiência cardíaca (IC) foi mais frequente do que a recorrência do infarto.
Sim, isso mesmo! Enquanto todo mundo se preocupa em evitar um novo evento isquêmico, o coração pode estar silenciosamente entrando em falência.
Vamos entender o estudo:
Os pacientes foram acompanhados por 1 ano, período no qual apenas 3,8% dos pacientes tiveram um novo infarto, enquanto 23,8% desenvolveram IC, mesmo sem histórico prévio da doença.
Entre os que tiveram IC, a fração de ejeção (FE) variou bastante: 42,2% desenvolveram IC com FE reduzida (<40%), 26,7% com FE intermediária (41-49%) e 31,1% com FE preservada (>50%).
🤔 Já sei o que o você está pensando: “e se o paciente tem FE normal na alta?”
Mesmo entre os pacientes sem IC prévia e com FE ≥50% na alta hospitalar, 11,8% desenvolveram IC dentro de um ano, enquanto apenas 3,5% tiveram um novo IAM.
Ou seja, uma FE preservada não é um passe livre para ignorarmos o risco de IC no pós-IAM.
E quanto ao prognóstico?
Os pacientes que desenvolveram IC tiveram risco 76% maior de mortalidade em comparação com aqueles que não tiveram a doença (HR 1,76). Além disso, apresentaram taxas muito mais altas de reinternações cardiovasculares e por todas as causas.
Em outras palavras, sobreviveu ao infarto? Ótimo. Mas o jogo está longe de acabar.
Esse estudo acende um alerta importante: não basta focar só na prevenção do segundo infarto, é preciso monitorar ativamente a IC no pós-IAM. Estratégias como avaliação clínica rigorosa, rastreamento precoce de sintomas, monitoramento de BNP/NT-proBNP e ajuste terapêutico (com betabloqueadores, iECA/BRA e antagonistas de aldosterona) podem ser fundamentais para prevenir a progressão da IC.
Estamos subestimando a gordura na ICFEp?
Subanálise PARAGON-HF (EHJ)
Já deu uma olhada nos seus pacientes com insuficiência cardíaca com fração de ejeção preservada (ICFEp) e pensou: “Esse paciente não parece obeso, mas tem um acúmulo central de gordura considerável”?
Pois é, parece que a circunferência abdominal pode estar contando uma história que o IMC não consegue contar.
Uma subanálise do estudo PARAGON-HF demonstrou que a adiposidade central é praticamente onipresente nesses pacientes, mesmo naqueles sem obesidade pelo IMC.
Quase todos os pacientes (96%) tinham adiposidade central (WHtR ≥0,5), mas apenas 49% eram obesos pelo IMC.
WHtR foi um preditor mais preciso de risco de hospitalização por IC, enquanto o IMC subestimou essa relação.
O famoso paradoxo da obesidade desapareceu quando utilizamos WHtR, ou seja, o suposto efeito protetor do IMC alto pode ser apenas uma ilusão causada por uma métrica imprecisa.
Sacubitril/Valsartana mostrou maior efeito em pacientes com mais adiposidade, mas a resposta ao tratamento foi semelhante em diferentes faixas de WHtR.
O recado é claro: ICFEp e adiposidade central andam de mãos dadas. O IMC pode estar escondendo riscos importantes, enquanto o WHtR se mostrou um marcador muito mais confiável.
Bora atualizar essa abordagem?
Doenças cardíacas no topo
Caiu na Mídia
E isso não é uma boa coisa.
A American Heart Association (AHA) publicou seu relatório anual e o cenário segue preocupante: as doenças cardiovasculares ainda matam mais do que câncer e acidentes somados.
Para se ter uma ideia, uma pessoa morre de doença cardiovascular a cada 34 segundos e de AVC a cada 3 minutos.
Em 2022, foram registradas 941.652 mortes por doenças cardíacas nos EUA, um aumento de 10.000 óbitos em relação a 2021. Apesar da leve queda na taxa ajustada por idade, os fatores de risco continuam crescendo: hipertensão, obesidade e diabetes estão em alta.
Além disso, presenciamos um salto na prevalência das doenças renais - de 9,2% para 14,2% em apenas uma década, entre os beneficiários do Medicare.
Reforça, assim, o tema da síndrome cardiovascular-renal-metabólica, já reconhecido pela AHA (e já discutido em DozeNews Prime!).
A obesidade, por sua vez, vem sendo chamada pelos íntimos de “novo tabagismo” rs. Brincadeira a parte, o fato é que 72% dos adultos estão acima do peso e 42% são obesos. Com estes números, o excesso de peso já mata mais do que o tabagismo, sendo responsável por 1.300 mortes diárias nos EUA. A perda de expectativa de vida pode chegar a 2,4 anos, afetando mais as mulheres e a população negra.
🚨 É hora de mudar!
O recado da AHA é claro: não dá para tratar o coração sem olhar para os rins e o metabolismo. Hipertensão, obesidade e diabetes fazem parte do mesmo problema e precisam ser manejados de forma integrada.
A batalha contra a síndrome cardiovascular-renal-metabólica precisa começar já – ou continuaremos perdendo vidas.
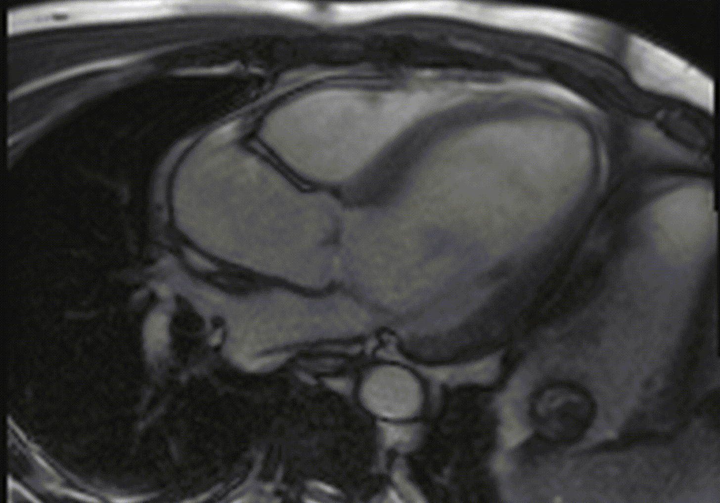
Imagem da Semana
Qual o nome do sopro que você “vê” na figura acima? Responda nos comentários! ⬇️
O giro pelas demais publicações da semana
💻 A AngioTC 2.0? Tomografia de coronárias com photon-counting melhorou a acurácia diagnóstica na DAC em comparação à convencional, uma vez que reduziu os encaminhamentos a cateterismo, e os que foram encaminhados foram mais revascularizados.
🦀 Cardio-oncologia revisada: os 10 principais estudos de 2024 eleitos pelo European Heart Journal.
💔 Intervenção Coronariana em Mulheres: Quais os riscos e resultados? Coorte brasileira, publicada no Arquivos Brasileiros de Cardiologia, com 1146 mulheres tratadas por intervenção coronariana percutânea (ICP) mostrou sucesso inicial de 97,7% e taxas de mortalidade intra-hospitalar de 1,2%. Preditores de eventos adversos incluíram AVC prévio e doença renal crônica. Durante 2 anos de seguimento, 8% apresentaram nova síndrome coronariana aguda e 5,5% precisaram de nova revascularização.
💊 Pré-tratamento com Inibidores P2Y12: Vale a Pena? Registro publicado no JACC com 110 mil pacientes de SCASST nos EUA mostra queda no uso de pré-tratamento (de 24,8% em 2013 para 12,4% em 2023) e grande variabilidade entre operadores. Não houve benefício em mortalidade ou reinfarto, mas cirurgias de revascularização resultaram em internação.
🎙 Alô, Rapha Rossi e Will Batah! Aos estatísticos e epidemiologistas de plantão: documento AHA com estatísticas mundiais sobre AVC e doenças cardiovasculares.








Sopro de Austin Flint
Austin flint