Uma peça-chave na compreensão da ANOCA
Espasmo coronariano em pauta
Vasoespasmo, a peça-chave da ANOCA
Artigo de Revisão (JACC)
De grão em grão a galinha enche o bico… Às vezes a ciência parece seguir o caminho dos velhos ensinamentos da vida.
Quando falamos de doenças raras ou mal compreendidas, a estratégia é juntar peças pequenas até enxergar o quadro completo.
Mas e quando o assunto é doença coronariana, uma das condições mais estudadas da medicina? Mesmo assim, ainda temos cenários desafiadores que seguem à margem dos grandes trials.
É o caso da ANOCA (angina sem obstrução coronária epicárdica), uma condição que desafia diagnósticos e tratamentos.
O state of the art do JACC desta semana traz uma revisão fundamental sobre a relação entre vasoespasmo e aterosclerose, compilando estudos fisiopatológicos e clínicos para trazer novas correlações.
Começando do básico, o artigo (aberto e livre a todos!) determina um interessante fluxograma na tentativa de entender melhor a fisiopatologia do paciente com ANOCA, destacando a investigação invasiva de vasoespasmo micro e macrovascular e disfunção endotelial.
Se você não sabe por onde começar após um paciente mostrar um CATE normal e manter angina com o tratamento clínico, esse artigo já tem muita utilidade.
Outra mensagem interessante é que o vaso que apresenta vasoespasmo importante apresenta maior correlação com ateroesclerose, neovascularização e espessamento neointimal evidenciados em estudos de OCT. Associação que nos impõe sempre manter a otimização terapêutica nos pacientes com DAC não obstrutiva. O artigo compara, ainda, vasos sadios, não sadios e segmentos distais.
O fato é que coronárias que apresentam disfunção funcional também são doentes e pode ser um espectro da tão conhecida DAC obstrutiva! Vale a pena conferir!
Ficar sentado é o novo cigarro!
Coorte (JACC)
☕️ Quantas vezes você levantou hoje para pegar um café? Se você está achando que isto já vai contar como exercício, temos más notícias.
Um estudo recém-publicado no JACC jogou na nossa cara um fato preocupante: ficar sentado por mais de 10,6 horas por dia pode aumentar (e muito!) o risco de insuficiência cardíaca e morte cardiovascular.
E não adianta dizer que treina 3x/semana – o efeito negativo do sedentarismo persiste, mesmo entre quem cumpre a meta de 150 minutos semanais de atividade física!
O que esse estudo mostrou?
Ficar sentado mais de 10,6h/dia aumentou em 45% o risco de insuficiência cardíaca;
O risco de morte cardiovascular foi 62% maior para quem passa esse tempo todo parado;
O risco de infarto e fibrilação atrial também aumentou, mas de forma mais linear.
O mais chocante? Mesmo quem é fisicamente ativo não está livre dos danos do tempo excessivo sentado. Isso significa que, se você faz academia mas passa o resto do dia grudado na cadeira ou no sofá, ainda pode estar comprometendo sua saúde cardiovascular.
A boa notícia é que qualquer tempo sedentário reduzido já faz diferença! No estudo, trocar apenas 30 min/dia sentado por qualquer outra atividade já diminuiu significativamente o risco de doenças cardiovasculares.
E nem precisa ser CrossFit, tá? Uma caminhada leve já resolve.
A mensagem é simples, Dozer: mexa-se! O tempo que você passa sentado pode estar encurtando sua longevidade.
Então bora levantar dessa cadeira agora mesmo e salvar alguns anos de vida!
A IC além dos remédios
Artigo de Revisão (JACC: Heart Failure)
A insuficiência cardíaca (IC) não se trata só de comprimidos e dispositivos – e uma nova revisão publicada no JACC: Heart Failure mostra que abordagens não farmacológicas são fundamentais para melhorar a vida desses pacientes.
Disso já sabemos, e bem. O problema é adotá-las na prática clínica.
Vamos pontuar alguns dos manejos principais para que possamos traçar estratégias para colocá-las em prática:
Alimentação e sódio: dietas como DASH e Mediterrânea podem trazer benefícios para pacientes com IC, mas não há evidência forte para restrição universal de sódio (em alguns casos, restringir demais pode até piorar o quadro).
Peso e nutrição: a obesidade precisa ser encarada de frente. O estudo destaca o papel dos agonistas de GLP-1, como a semaglutida, e até da cirurgia bariátrica em pacientes selecionados.
Por outro lado, a caquexia cardíaca e a sarcopenia são ameaças sérias e exigem atenção especial na ingestão de proteínas e micronutrientes.
Exercício e reabilitação cardíaca: o estudo reforça que a reabilitação melhora não só a capacidade funcional, mas também reduz hospitalizações e mortalidade.
Ainda há resistência em recomendar treino de força e alta intensidade, mas os dados mostram que esses métodos podem ser seguros quando bem ajustados.
Sono e apneia: o tratamento da apneia obstrutiva com CPAP pode melhorar sintomas e reduzir eventos cardiovasculares.
Já a apneia central continua sendo um desafio, com algumas terapias mostrando resultados inconsistentes.
Saúde mental: a terapia cognitivo-comportamental (TCC) mostrou bons resultados, assim como o suporte colaborativo com psiquiatras e psicólogos.
Exercício também ajuda a reduzir sintomas depressivos.
Uso de substâncias: álcool, tabaco, cocaína e metanfetaminas podem acelerar a progressão da IC e aumentar a mortalidade.
O estudo recomenda que abordagens de suporte e tratamento especializado sejam parte do cuidado da IC, especialmente em pacientes com histórico de abuso de substâncias.
📝 A mensagem para levar ao consultório:
A IC precisa ser tratada além dos remédios. Alimentação, atividade física, sono e saúde mental fazem toda a diferença no prognóstico.
Cada paciente precisa de uma abordagem individualizada – não basta apenas ajustar as doses de sacubitril-valsartana e esperar o melhor.
Cardiologistas fora da UTI
Caiu na Mídia
Está dando o que falar… A nova resolução do Conselho Federal de Medicina (CFM) que retira dos cardiologistas a possibilidade de coordenar unidades de terapia intensiva (UTI) gerou um verdadeiro rebuliço nas redes sociais e grupos de WhatsApp na última semana.
🤔 O que mudou?
Desde 2020, o CFM determina que a coordenação de UTIs e unidades de cuidados intermediários (UCI) cabe exclusivamente aos médicos intensivistas (Resolução nº 2.271/2020).
Porém, até então, as UTIs cardiológicas (coronarianas, emergências cardiovasculares e pós-operatórios de cirurgia cardíaca) eram exceção, pois a Resolução nº 2.135/2015 reconhecia o cardiologista como apto a coordená-las.
Agora, com a nova Resolução nº 2.422/2025, publicada no último dia 30, essa permissão foi revogada. Ou seja, a coordenação dessas unidades passa a ser exclusividade dos intensivistas, mesmo em cenários cardiológicos.
💣 A decisão caiu como uma bomba. A Sociedade Brasileira de Cardiologia (SBC) já se posicionou oficialmente, afirmando que “lamenta profundamente essa decisão, a qual considera equivocada, e aguarda a publicação oficial para definir as próximas ações”. Da mesma forma, a SOCESP (Sociedade de Cardiologia do Estado de São Paulo) também manifestou seu descontentamento nas redes sociais.
Mas, e na prática?
Se você é cardiologista e trabalha em UTI, calma. Essa mudança não significa que você perderá seu emprego como plantonista, apenas que, no nível de coordenação, a responsabilidade passa a ser dos intensivistas.
A justificativa oficial do CFM para a mudança é que “os pacientes críticos precisam ser assistidos por profissionais capacitados para lidar com a complexidade dos cuidados intensivos”. Mas a pergunta que fica no ar é: quem estaria mais preparado para coordenar uma unidade de cuidados críticos cardiológicos do que um cardiologista? 🤷♂️
A discussão está longe de acabar – e ainda deve render muitos debates nos próximos dias.
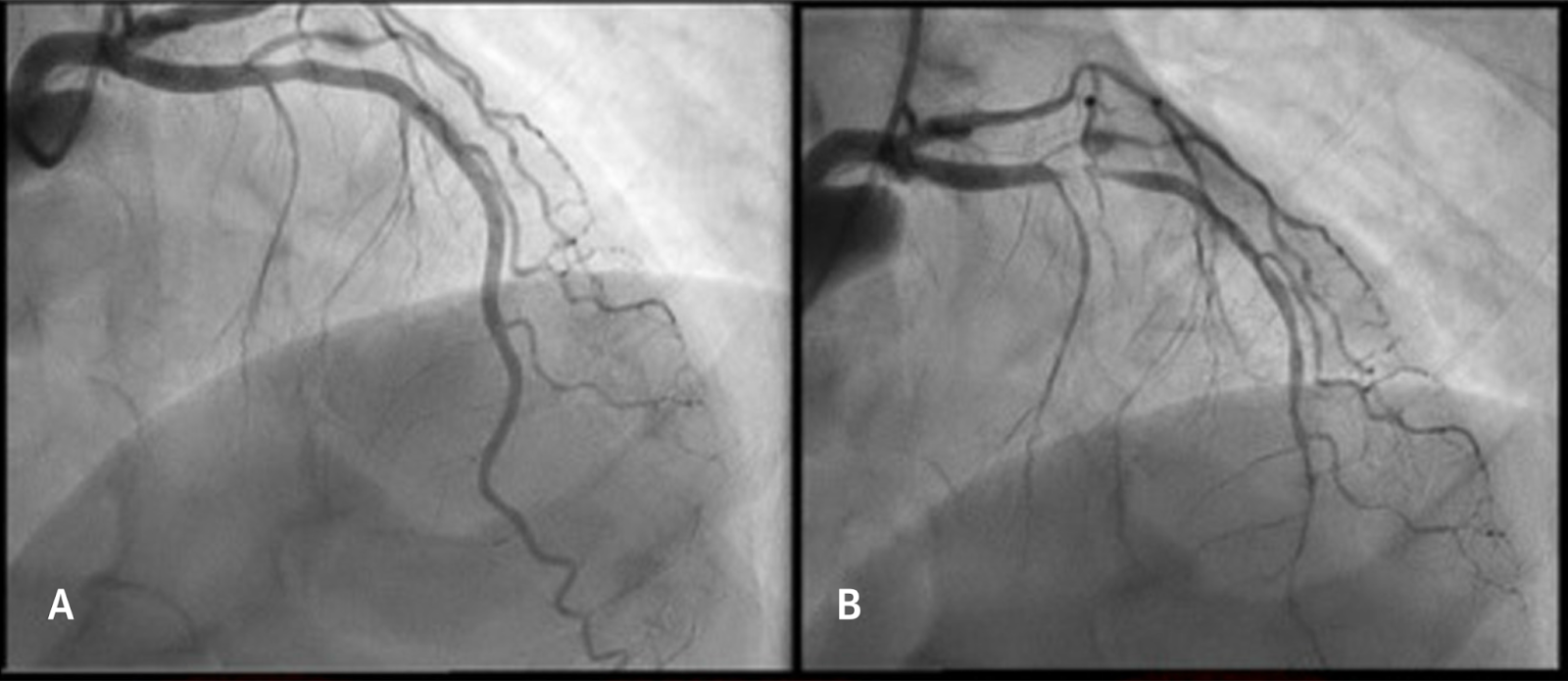
Imagem da Semana
✋🏼 Primeiro, a resposta do desafio da semana passada: sopro de Austin Flint!
É o sopro diastólico de foco mitral em consequência à restrição da sua abertura pelo fluxo regurgitante aórtico.
Como o tema da semana é vasoespamo, destacamos a imagem do próprio artigo de revisão sobre vasoespasmo e ateroesclerose. À esquerda: ADA com lesão focal discreta; À direita: lesão focal suboclusiva após administração de acetilcolina.
No artigo há, ainda, a imagem de OCT dessa placa que angiograficamente passa-se quase imperceptível. Vale a pena conferir!
As demais publicações da semana 📆
🧈 Colesterol remanescente: o elo oculto entre estilo de vida ruim e doença coronariana. Estudo populacional dinamarquês com mais de 100 mil indivíduos mostrou que tabagismo, sedentarismo e dieta inadequada aumentam o colesterol remanescente, explicando de 12% a 21% do risco adicional de infarto e doença coronariana.
🪢 Lesões Complexas de Tronco de Coronária Esquerda: estratégia provisional ou de dois stents? Após 3 anos de acompanhamento no estudo europeu EBC MAIN, publicado no Circulation, não houve diferença significativa em eventos cardíacos maiores entre as estratégias (23,5% vs 29,5%; p=0,11). Contudo, a revascularização da lesão-alvo foi menor no grupo de abordagem provisória (8,3% vs 15,6%; p=0,013), especialmente em vasos menores (<3,25 mm) e lesões curtas (<10 mm). Esses achados reforçam a corrente europeia para a estratégia provisória como padrão para bifurcações verdadeiras, ao contrário da escola chinesa 🇨🇳 … Estudo que veio no momento certo do DozeCast dessa semana sobre lesões complexas para o clínico!
🩸 Menos é mais na anticoagulação? Para pacientes com FA e DAC estável, a anticoagulação isolada reduz sangramentos sem aumentar eventos isquêmicos, sugerindo que o AAS pode ser dispensável, conforme estudo publicado no JACC.
🤰🏼 Os resultados de um interessante estudo publicado no JACC: Advances indicam que não há diferença significativa entre o controle rigoroso e o padrão nos desfechos maternos na síndrome hipertensiva gestacional.
🧬 Cardiomiopatia dilatada e a diferença de gênero: o papel da Genética! Revisão publicada no Circulation com 99 estudos (37.525 pacientes) revelou que homens têm o dobro da prevalência comparado às mulheres. No UK Biobank, diagnósticos baseados apenas em códigos genéticos apresentaram uma razão de quase 5 vezes, mas estratégias de imagem e genótipo reduziram essa proporção. Isso sugere que fatores adicionais, como critérios diagnósticos e ambientais, também influenciam a prevalência.
🩸 Anemia na IC: um novo olhar sobre empagliflozina. O estudo EMPATROPISM-FE revelou que pacientes com IC e anemia apresentam menor ferro miocárdico e pior função cardíaca. Após 6 meses, empagliflozina aumentou o ferro miocárdico, reduziu norepinefrina e melhorou o remodelamento ventricular, sugerindo que a modulação da captação de ferro e a simpatólise podem ser chaves para seus benefícios clínicos.
🧬 Risco Genético na Cardiologia: A Promessa dos Polygenic Risk Scores (PRS). Consenso europeu destaca o potencial dos PRS em prever doenças cardiovasculares ao integrar múltiplas variantes genéticas em um único escore. Embora não recomendados nas diretrizes clínicas atuais, os PRS têm gerado interesse crescente para decisões personalizadas de prevenção.







