A TAVI consegue durar 10 anos?
Artigo de revisão coloca em debate a durabilidade da TAVI
Antes de começarmos, um comunicado importante ✋🏼🔹
O DozeTEC vem aí.
Em exatos 07 dias lançaremos o curso que vai revolucionar a preparação para o Título de Especialista em Cardiologia: o DozeTEC.
Mas antes de mais detalhes, precisamos saber uma coisa de vocês.
Quanto tempo dura uma TAVI?
Artigo de Revisão (EuroIntervention)
Sabemos que o implante transcateter da válvula aórtica (TAVI) tem sido uma alternativa menos invasiva à substituição cirúrgica da válvula aórtica (SAVR), agora também aplicada em pacientes de baixo risco cirúrgico.
Com isso, uma das principais preocupações da TAVI em pacientes de baixo risco, principalmente se abaixo de 70 anos, é quanto à durabilidade da prótese.
Será que ela consegue durar o mesmo que uma prótese biológica implantada via cirúrgica?
Ou nosso paciente terá mais risco de se submeter a um novo procedimento no futuro?
Assim, a revista europeia de cardiologia intervencionista (EuroIntervention), trouxe essa robusta revisão sobre mecanismos de disfunção da prótese, como acompanhar e os dados atuais sobre a durabilidade.
Os dados mais relevantes foram:
A incidência de falha da válvula bioprotética relacionada à alteração estrutural foi baixa (< 5%) no seguimento de 5-8 anos e semelhante à cirurgia.
O acompanhamento de 10-15 anos apresenta importantes vieses nos dados disponíveis, mas pelo que temos hoje a incidência da falha seria em torno de 10%, podendo inclusive ser inferior à da cirurgia (~14%).
O estudo também apontou os principais fatores de risco que podem levar à falha da prótese: jovens, sexo feminino, pequeno tamanho do anel aórtico ou da prótese, diabetes, hipertensão, DRC, FA e desalinhamento da prótese.
Por fim, quanto ao tipo de dispositivo da TAVI, os estudos sugerem que as válvulas autoexpansíveis podem ter menor risco de falha em comparação com válvulas balão-expansíveis.
São dados interessantes para termos em mente na hora de definir a conduta para o nosso paciente que será submetido à troca valvar aórtica.
Ressonância magnética na investigação das arritmias: é mesmo necessária?
Revisão Sistemática (HEART)
Não é de hoje que sabemos da importância da ressonância magnética cardíaca (RMC) na investigação de cardiopatias estruturais em pacientes com arritmias ventriculares.
Vamos lembrar que a última diretriz sobre o tema, publicada pela sociedade europeia em 2022, traz um nível de recomendação IIa para a realização de RMC em pacientes com arritmias ventriculares (AVs).
Uma revisão sistemática publicada no jornal HEART objetivou avaliar a prevalência de doenças cardíacas estruturais (SHD) e as implicações prognósticas da RMC em pacientes com AVs significativas.
Vamos aos principais resultados:
Prevalência de SHD: Em 18 estudos, a prevalência de SHD pós-RMC foi de 39% entre todos os pacientes com VAs significativas.
Esse número variou de 24% em pacientes com extrassístoles ventriculares ou taquicardia ventricular não sustentada (TVNS) a 63% em pacientes com VAs mais complexas.
Mudança no Diagnóstico: A CMR mudou o diagnóstico inicial em 35% dos casos, com uma média variando de 21% a 66% entre os estudos.
Tipos de SHD: A cardiomiopatia não isquêmica foi a SHD mais frequentemente identificada (56%), seguida pela doença cardíaca isquêmica (21%) e cardiomiopatia hipertrófica (5%).
Valor Prognóstico: A presença de realce tardio de gadolínio (LGE) na CMR foi associada a um risco aumentado de desfechos adversos maiores, com um hazard ratio (HR) de 1,79.
Pelo visto, vale mesmo a pena solicitar uma RMC na avaliação do seu paciente com AVs.
Esse método, além de ser importante na definição etiológica e prognóstica, foi capaz de melhorar a estratificação de risco, potencialmente mudando a abordagem terapêutica.
Obesidade e IC: desafios e novas perspectivas
Artigo de revisão (JACC)
Acaba de ser publicado no JACC: Heart Failure uma revisão do estado da arte sobre estratégias para perda de peso na IC!
Ué, mas há diferença?
Vocês já sabem que a obesidade é uma comorbidade comum tanto na IC com fração de ejeção reduzida (ICFER) quanto na IC com fração de ejeção preservada (ICFEP). Além disso, especialmente para a ICFEP, a obesidade é um fator de risco importante.
Medidas de estilo de vida são fundamentais para a perda de peso, mas manter esses hábitos a longo prazo pode ser difícil. Além disso, os dados sobre a eficácia dessas intervenções na população com IC ainda são limitados.
Será, então, que a cirurgia bariátrica pode ser uma alternativa viável?
Para os pacientes com IC pré-operatória ou disfunção ventricular esquerda, a cirurgia bariátrica tem mostrado eficácia e segurança moderadas. Estudos indicam que ela pode reduzir as hospitalizações por IC e a mortalidade a médio prazo.
E quanto aos medicamentos antiobesidade? Será que estamos diante de uma nova era?
Historicamente, havia preocupações com os efeitos adversos cardiovasculares dos medicamentos antiobesidade. No entanto, estudos recentes com agonistas (GLP-1) trouxeram ótimas notícias. Esses medicamentos mostraram segurança e eficácia na perda de peso em ensaios populacionais gerais. Apesar de algumas preocupações de segurança com GLP-1 na ICFER avançada, a semaglutida, um agonista do GLP-1, tem se mostrado segura e eficaz para perda de peso em pacientes com ICFEP.
Em resumo, ainda precisamos de mais ensaios clínicos focados em estratégias de tratamento da obesidade específicas para pacientes com IC. Mas as perspectivas são promissoras!
Esteatose hepática no US de abdome: devemos prosseguir investigação?
Anúncio (Mantecorp Farmasa)
Hoje sabemos que o US de abdome é quase uma rotina em nosso consultório: indicado para pacientes com sobrepeso ou diabéticos para investigação de esteatose hepática.
O problema é que muitas vezes paramos por aí: sem prosseguir a investigação da esteatose e estabelecer os pilares para o tratamento.
Esse foi o tema do DozeCast da última semana, em parceria com a Mantecorp, onde discutimos tudo sobre a síndrome metabólica, a investigação e o tratamento da esteatose hepática.
Não deixem de conferir!
Agonista da GLP1 2.0
Caiu na Mídia
Na verdade, é um agonista do polipeptídeo insulinotrópico dependente de glicose (GIP) e do peptídeo-1 semelhante ao glucagon (GLP1), a tirzepatida (aka, Mounjaro®).
Conhecido pelos seus benefícios na perda de peso, foram divulgados pela Lilly os resultados do estudo SUMMIT, que levam essa medicação ao nível dos agonistas da GLP1 no tratamento da IC FEP em pacientes com obesidade.
Foi um estudo fase 3 multicêntrico, randomizado e duplo-cego, que incluiu 731 participantes divididos para receber tirzepatide nas doses de 5 mg, 10 mg ou 15 mg, ou placebo.
Os resultados foram animadores:
A tirzepatide reduziu em 38% o risco de desfechos de insuficiência cardíaca (hospitalização, intensificação de diuréticos ou morte cardiovascular); como também demonstrou uma melhora significativa nos sintomas de IC.
Os pacientes que usaram tirzepatide apresentaram, ainda, uma perda de peso média de 15,7% após 52 semanas, comparado a 2,2% no grupo placebo.
Assim, a tirzepatide mostrou ser eficaz na redução de eventos de insuficiência cardíaca e na melhoria dos sintomas em pacientes com HFpEF e obesidade.
Mas calma, ainda são resultados preliminares, que necessitam de mais estudos para confirmá-los e avaliar a longo prazo a segurança e eficácia do tirzepatide.
Imagem da Semana
Mas antes, a resposta do desafio da semana passada:
Doença de Kawasaki.
Na imagem da angioTC observamos a presença de aneurismas nas artérias coronárias, condição que pode estar associada a vasculites como a doença de Kawasaki. Deixo aqui a dica de artigo para revisar o tema (quem sabe vem um Prime por aí?).
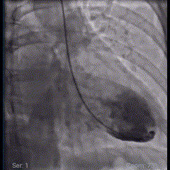
Agora, vamos à imagem da semana:
Um clássico é um clássico: bela imagem de ventriculografia de um paciente com síndrome de Takotsubo, caracterizada pela acinesia dos segmentos das porções médio e apical, e hipercinesia basal.
Fique por dentro
🌐 Ressincronizador “sem fio” para pacientes com IC? Parece ser uma opção, segundo o estudo SOLVE-CRT, publicado no JAMA.
📃 Interessante revisão do JACC acerca das doenças do pericárdio e orientações quanto à pericardiectomia.
👫 Diferenças entre homens e mulheres com hipercolesterolemia familiar: resultados do SAFEHEART study mostram menor mortalidade em mulheres.
🤖 Manejo da síncope por meio da Inteligência artificial? Talvez ela seja até melhor que nós… resultados de estudo publicado no JACC.
⚡ Já imaginou um CDI em “adesivo”? Essa alternativa foi desenvolvida e mostrou-se segura para pacientes com risco de morte súbita por causas reversíveis.
🧠 Ateroesclerose vinculada a demência:resultados do estudo ARIC.









