Diretriz de Fibrilação Atrial AHA/ACC 2023
Nova classificação para a FA; opções para estratificação do risco cardioembólico; mais destaque para o controle precoce do ritmo
Na edição de hoje:
📚 Fresquinha, fresquinha: nova diretriz de FA da sociedade americana!
🫀 Angioplastia guiada por imagem intravascular vs funcional;
🩸 O efeito do hiperaldosteronismo subclínico no risco cardiovascular.Aos 45’ do segundo tempo: uma nova diretriz de FA
Diretriz AHA/ACC
Está até parecendo jogo do Botafogo, que chega no finzinho e vem uma novidade rs.
Quando achávamos que já não havia mais tempo em 2023 para publicações de grande relevância, a associação e o colégio americanos de cardiologia (AHA e ACC) unem-se para lançar a nova diretriz de diagnóstico e manejo de fibrilação atrial (FA).
Não vamos abandoná-los nesse momento e trouxemos os principais pontos do novo guideline.
Nova classificação de FA.
O objetivo é ver essa arritmia como uma doença progressiva que requer uma variedade de estratégias nos diferentes estágios.
Estágio 1 (em risco para FA) - fatores de risco para FA (obesidade, sedentarismo, SAOS, idade, sexo masculino).
Estágio 2 (pré-FA) - evidência de alterações estruturais e elétricas que predispõem a FA (aumento atrial, ectopias atriais frequentes, flutter).
Estágio 3 (FA):
3A - FA paroxística (intermitente e termina em ≤ 7 dias);
3B - FA persistente (duração > 7 dias);
3C - FA persistente de longa duração (> 12 meses);
3D - ablação da FA com sucesso
Estágio 4 (FA permanente) - não há proposta de reversão do ritmo.
Mudanças do estilo de vida e controle de fatores de risco como pilares no tratamento da FA.
Profilaxia primária com controle de fatores como obesidade, consumo etílico, sedentarismo, diabetes, HAS e tabagismo em pacientes com risco para FA passa a ter nível de recomendação IA.
Avaliação do risco tromboembólico: indo além do CHA2DS2-VASc.
Inclui a possibilidade do uso de outros escores de risco, como o GARFIELD-AF e o ATRIA, para pacientes com condições clínicas especiais como disfunção renal e idade avançada.
Controle precoce do ritmo.
Nível de recomendação I para controle do ritmo em pacientes com IC FER e FA.
Ablação por cateter subiu para nível de recomendação I:
Em pacientes selecionados (geralmente mais jovens e com poucas comorbidades) com FA paroxística sintomática nos quais se deseja o controle do ritmo, a ablação por cateter é útil como terapia de primeira linha para melhorar os sintomas e reduzir a progressão para FA persistente.
Há muito mais a abordarmos sobre essa diretriz. Quem sabe uma DozeNews Prime sobre o tema? 😏
Intervenção coronária percutânea (ICP): orientação por imagem ou funcional?
Revisão Sistemática (JACC)
Desde que Eric Topol designou o termo "reflexo óculo-estenótico" sabemos que o desejo de "desentupir tudo que está entupido" inevitavelmente pode nos conduzir à má prática médica.
Para contornar um dos mais frequentes erros cognitivos da cardiologia, fruto da heurística da normalização, a ciência permitiu avanços técnicos com potencial de detalhar as lesões coronárias, aumentando a precisão na identificação de lesões funcionalmente significativas, com benefício potencial de tratamento invasivo.
Nesse sentido, acaba de ser publicado no JACC uma pesquisa que investigou a eficácia da orientação por imagem intravascular versus orientação funcional na otimização de resultados em pacientes submetidos à ICP, inclusive na SCA!
Os pesquisadores realizaram uma extensa revisão nas bases de dados PUBMED e EMBASE, selecionando 32 ECR, com um total de 22.684 pacientes.
E os resultados?
A ICP guiada por imagem intravascular demonstrou uma redução significativa no risco de eventos cardiovasculares adversos maiores (MACE), incluindo morte cardiovascular, infarto do miocárdio, trombose do stent e revascularização da lesão-alvo.
Esses benefícios foram também observados, embora em menor escala, na PCI guiada funcionalmente.
A ICP guiada por angiografia apresentou resultados consistentemente inferiores em comparação às técnicas guiadas por imagem intravascular e funcional.
🤔 Qual o impacto para a nossa prática clínica?
Estes achados enfatizam a necessidade de uma revisão das técnicas de ICP, priorizando abordagens guiadas por imagem intravascular, especialmente em pacientes com alto risco de eventos cardiovasculares.
Hiperaldosteronismo subclínico e o risco cardiovascular
Coorte (Circulation)
Chamem os endócrinos para conversa! É… cada vez está mais difícil a vida do cardiologista, mas com bons amigos vamos longe.
O hiperaldosterosnismo é a produção elevada de aldosterona independente da renina. Alguns estudos prévios sugerem que esta associação não é tão infrequente quanto pensamos e podem representar riscos elevados para a saúde cardiovascular.
Um estudo canadense avaliou pacientes da coorte CARTaGENE (Quebec, Canadá) e estudou de forma prospectiva a associação dos valores de aldosterona e renina com indicadores cardiovasculares de 1284 pacientes entre 50 e 69 anos.
Os resultados:
Dos 1284 pacientes, 548 (43%) apresentavam-se hipertensos.
A relação aldosternona/renina elevada associou-se com:
maior dureza arterial (arterial stiffness);
alterações ecocardiográficas - aumento do AE, aumento da massa do VE e maior índice de remodelamento do VE;
hipertrofia ventricular esquerda;
desenvolvimento de HAS.
Fonte de muito estudo tanto pelos colegas endocrinologistas quanto por nós, cardiologistas, o hiperaldosteronismo subclínico parece associar-se ao remodelamento cardíaco e degeneração da vasculatura arterial.
Não era só fazer o “arroz com feijão”?
Caiu na Mídia
Estão querendo acabar com o nosso arroz com feijão!
O jornal O Globo publicou uma matéria na qual destaca orientações de um artigo da Universidade de Harvard orientando contra o consumo regular do arroz branco.
Vamos entender melhor essa história.
O artigo orienta sobre a alta taxa de carboidratos presente nesse alimento, e da perda de outros nutrientes como fibras, minerais e vitaminas durante o seu preparo.
Assim, destaca os riscos do seu consumo, principalmente para pacientes diabéticos, e sugere a substituição por outros acompanhamentos menos calóricos nessa população (como quinoa, legumes e vegetais, e até o arroz integral).
Está longe de ser uma orientação para contraindicarmos esse alimento para a população geral (dados os benefícios nutricionais, especialmente na duplinha com o feijão).
No entanto, fica a ressalva aos pacientes com risco hiperglicêmico de trazermos a consulto outras opções.
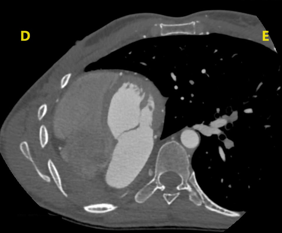
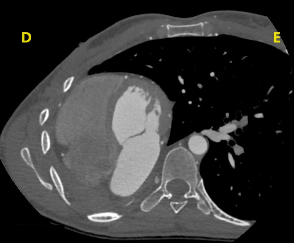
Imagem da Semana
I want to play a game (Jigsaw).
Essa é uma angiotomografia de paciente 37 anos. Queremos saber:
Na próxima semana trazemos a resposta!
Fique por dentro
🫀 Manejo de pacientes após parada cardiorrespiratória - Statement da Heart and Neurocritical Care Society.
🧒🏻 Atenção ao perfil lipídico de nossas crianças: não-HDL e LDLc associados a maior taxa de eventos na meia-idade.
🧐 Deficiência de ADAMTS-16 associada a desorganização da matriz extracelular e desenvolvimento de válvula aórtica bicúspide.
🧬 Deleção de receptor P2Y6 associada a menor formação de foam cells nas placas ateroscleróticas.
💉 Revisão do JAMA sobre o manejo da obesidade.
📚 Interessante revisão do JACC sobre trombose relacionada ao implante de dispositivo oclusor do apêndice atrial esquerdo.






