É o fim da era dos stents?
Será que os balões farmacológicos têm potencial de substituir os queridos stents?
É chegada a hora dos balões farmacológicos?
Ensaio Clínico Randomizado (The Lancet)
“Prudência e caldo de galinha não fazem mal a ninguém”. Já dizia a minha avó, que nada entendia de doença coronária, mas vai encaixar bem nessa situação da cardiologia.
Calma, vamos explicar rs.
Recentemente, alguns grupos têm considerado os stents farmacológicos ultrapassados e defendido que o tratamento com balões farmacológicos possa dominar totalmente o tratamento da DAC obstrutiva.
Sim, é fato que os balões farmacológicos apresentam boa opções em diversos cenários: vasos pequenos, reestenose intrastent, angioplastia de ramos laterais em bifurcações…
A partir daí, criou-se a hipótese acerca do potencial desta terapia em situações de maior risco trombótico e de maior miocárdio em risco, como é o caso de síndrome coronariana aguda e lesões de novo.
No entanto, parece que precisaremos ter um pouco de calma antes de aderir cegamente a esta conduta. Essa semana foram publicados resultados do estudo chinês REC-CAGEFREE I, que frustraram as expectativas de parte dos hemodinamicistas.
O objetivo do estudo foi comparar a angioplastia com balão farmacológico e angioplastia com stent farmacológico em lesões de novo (ou seja, sem tratamento prévio).
Foi um estudo open-label, que randomizou 2672 pacientes de 43 centros chineses, em uma proposta de não-inferioridade.
Desfecho analisado: DoCE - morte cardiovascular, IAM relacionado ao vaso-alvo ou revascularização guiada por isquemia ou fisiologia, após um seguimento médio de 734 dias.
Vamos aos resultados:
DoCE: 72 (6,4%) do grupo balão vs 38 (3,4%) do grupo stent, com uma diferença de risco acumulado de 3,04% ( 95% CI 4,52; p não-inferioridade = 0,65; two-sided 95% CI 1,27–4,81; p=0,0008).
Em outras palavras, o tratamento não atingiu a margem de não-inferioridade, apresentando maior taxa do desfecho composto, principalmente em pacientes tratados no cenário de síndrome coronariana aguda e de vasos grandes (análise secundária).
Já diziam os grandes professores do alto do olimpo: “não seja o primeiro e nem o último a aderir ao novo.” Há muito trabalho a ser feito neste campo…
A ideia de não deixar nenhuma prótese ou estrutura metálica é excelente e deve ser realizada, mas ainda não temos bem definidas suas indicações.
Escores de Risco Poligênico: “the game changer”?
Artigo de Revisão (ABC)
Vamos bater um papo sobre um assunto quente na cardiologia que pode mudar a maneira como você encara a estratificação de risco dos seus pacientes.
Estamos falando dos Escores de Risco Poligênico (PRSs). Nunca ouviu falar? Então se liga no jeito Doze de deixar tudo mais simples a partir de um belo paper publicado nos Arquivos Brasileiros de Cardiologia!
Por que PRSs são importantes?
Mesmo com todos os avanços nos tratamentos para Doença Arterial Coronariana (DAC), essa danada continua sendo a maior causadora de mortes ao redor do mundo. E aqui vem o problema: as ferramentas tradicionais que usamos para identificar quem está em risco moderado não são tão precisas assim. É aí que os PRSs entram em cena.
O que são PRSs, afinal?
Pensa nos PRSs como uma soma de pequenas peças de DNA, cada uma com um leve impacto no risco de desenvolver DAC. Quando você junta todas essas pecinhas, você consegue um quadro bem claro da predisposição genética do seu paciente. Com isso, dá para ser mais assertivo tanto na prevenção quanto no tratamento.
Onde PRSs fazem a diferença?
Prevenção primária: se o seu paciente ainda não teve nenhum evento cardiovascular, mas tem um PRS elevado, você pode entrar com tudo em estratégias preventivas. Isso inclui desde mudanças no estilo de vida até o uso precoce de estatinas.
Prevenção secundária: agora, se o paciente já teve um evento, o PRS pode ajudar a prever o risco de recorrência, te dando aquela mãozinha na hora de decidir ajustes no tratamento.
O que os estudos revelam?
Quem está no topo do ranking dos PRSs tem um risco bem maior de desenvolver DAC. Não é só blá-blá-blá, Dozer, isso foi mostrado em várias populações ao redor do mundo.
Além disso, os PRSs podem melhorar a precisão dos modelos de risco que já usamos. E tem mais: eles também ajudam a identificar quem vai se dar melhor com uma terapia preventiva, tipo a estatina.
Mas e os desafios?
Diversidade genética: a maioria dos PRSs que temos hoje foi desenvolvida com base em pessoas de ascendência europeia. Isso limita um pouco o uso em outras populações, como a nossa.
Fatores de risco complexos: os PRSs não levam em conta tudo, como o ambiente e os hábitos do seu paciente, que também pesam no risco de DAC.
Custo-efetividade: os PRSs são promissores, mas ainda precisamos de mais estudos para garantir que eles realmente valham a pena em grande escala.
Os PRSs podem ser uma virada de jogo na prevenção e no tratamento da DAC. Eles ajudam a gente a ser mais preciso e a oferecer um cuidado mais personalizado. Mas, como toda novidade, ainda precisamos garantir que eles funcionem para todo mundo e que sejam usados de forma ética.
Manejo da disfunção renal na IC
Artigo de Revisão (Circulation)
Manter-se atualizado é muito bom. Mas quando vem com artigos que vão nos auxiliar na prática diária, aí é bom demais!
Essa semana, a AHA nos presentou com um interessante consenso acerca do manejo da disfunção renal em pacientes com insuficiência cardíaca (IC).
Trouxemos algumas das principais orientações presentes no documento:
🧪 O uso da cistatina C:
Sabemos da importância da dosagem de creatinina no seguimento de pacientes com IC descompensada. No entanto, destaca-se a relevância de outros biomarcadores como a cistatina C, que pode ser uma ferramenta mais precisa, especialmente em pacientes com massa muscular reduzida.
🧐 Irreversível ou não?
Avaliação complementar por meio de indicadores como proteinúria, albuminúria, e a presença de células ou cilindros no exame de urina podem indicar a presença de doença renal intrínseca com menor chance de melhora, mesmo após a reversão do quadro hemodinâmico.
Embora a biópsia renal possa fornecer informações valiosas, seu uso é limitado pelos riscos, como sangramento e dor.
💊 Otimizando a função renal:
A chave do tratamento é ajustar o equilíbrio entre tratar a insuficiência cardíaca sem sobrecarregar os rins. A diretriz destaca que o uso de diuréticos e inibidores do sistema renina-angiotensina-aldosterona (RAAS) são fundamentais, mas devem ser cuidadosamente monitorados. Mesmo que esses medicamentos possam causar uma queda inicial na taxa de filtração glomerular (eGFR), o benefício a longo prazo supera esse efeito.
O uso de inibidores de SGLT2 tem mostrado não só melhorar os desfechos cardiovasculares, mas também ajudar na proteção renal, mesmo em pacientes com uma leve redução da função renal.
Vale a leitura da consenso, com informações práticas e teóricas importantes no dia a dia hospitalar.
O Ozempic das Kardashians
Caiu na Mídia
E se até as Kardashians lançassem o seu próprio “Ozempic”?
Sim, é real.
Se já acompanhamos todos os dias novos artigos científicos sobre os inibidores da GLP1 e seus similares, a semaglutida chegou até às páginas de fofoca.
A Page Six noticiou, essa semana, o lançamento de uma marca de cápsulas de GLP1 produzidas pela socialite americana Kourtney Kardashian, chamada Lemme.
A ideia é que essa forma oral de semaglutida seja comercializada nos Estados Unidos por 72 dólares mensais em um formato de assinatura.
Há alguns meses, inclusive, já havíamos trazido uma matéria aqui na DozeNews sobre a produção da semaglutida pela marca low cost Him & Her.
Além de representar riscos à população (vamos lembrar que todas essas são drogas manipuladas e sem a aprovação do FDA ou de qualquer órgão regulatório), esse boom de GLP1 nas farmácias e nas mídias sociais representa uma mudança importante no sentido da estética, estimulando ainda mais a pressão pela perfeição e pela magreza excessiva.
Precisamos estar bem preparados para orientar os nossos pacientes e saber distinguir o limite entre a saúde e a obsessão pelos corpos perfeitos.
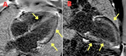
Imagem da Semana

Paciente em investigação de cardiopatia infiltrativa. Realiza ressonância magnética cardíaca que identifica um clássico padrão de realce tardio subendocárdico e difuso (setas). O diagnóstico: amiloidose cardíaca.
Aproveite e ouça o episódio do DozeCast com essa e outras clinicagens sobre o manejo e diagnóstico da amiloidose:
E você, também tem uma bela imagem cardíaca para compartilhar na DozeNews? Envie para o nosso e-mail: plataformadozeporoito@gmail.com
Um giro pelas demais publicações
🧬 Podemos usar a medicina de precisão (sim, a da genética) na decisão de qual antiplaquetário usar? Esse foi o tema dessa bela revisão do JACC.
⭕ Strain miocárdico: a teoria, a prática e o futuro em mais uma bela revisão do JACC.
🍕 Disfunção microvascular "subclínica"? Esse estudo identificou alterações microvasculares em pacientes de meia-idade assintomáticos com síndrome metabólica.
🩸 Revisão do JAMA acerca do manejo perioperarório de pacientes em uso de anticoagulação.
🧬 Foram publicados no NEJM 2 artigos sobre terapias-alvo com inibidores de RNA para o tratamento da hiperlipidemia mista:
📜 Revisão do Eurointervention sobre a insuficiência aórtica: dos mecanismos ao tratamento.
🏄🏼♀️ Manejo de aortopatia em crianças com síndrome de Marfan: statement de entidades europeias.
🧈 Mais uma revisão na semana, dessa vez do The Lancet, sobre a famosa Lipoproteína A.
💻 Occupi trial: importância do uso de OCT para tratamento de lesões coronárias complexas, com redução de desfecho.






