Não sabe o que tem, meticorten
Funciona até mesmo para o IAM?
Supra e sem supra: divisão cada vez mais próxima do adeus
Estado da Arte (JACC)
Mudanças são sempre difíceis, mas existem momentos em que devemos encará-las de frente.
O artigo State-of-The-Art da JACC desta semana é uma revisão sobre o tão falado infarto agudo do miocárdio com artéria ocluída. Alguns podem ficar tristes e desacreditados, mas o artigo, assim como os DozeCasts sobre o tema, justificam a possível mudança de nomenclatura do cansado IAMCSST.
Para quem não entende o lobby a favor desta mudança, basta ir até o artigo para compreender ou simplesmente ouvir o DozeCast #123: A Imprecisão do Supra de ST.
Um dos autores do artigo, inclusive, está presente neste episódio (calma, não precisa entender bem inglês… ele é brasileiro e famoso: Dr. José de Alencar 🇧🇷).
O artigo é um compêndio sobre como interpretar adequadamente uma síndrome coronariana aguda e ainda nos dá diversos exemplos de ECG para guardarmos na memória (ou em um print no celular. Fica a dica!). Destaque para os padrões de Aslanger, DeWinter, Sgarbossa e de onda T hiperaguda.
Devemos ter em mente que a nova nomenclatura propõe a valorização da apresentação clínica em relação ao ECG, uma vez que ainda temos uma assistência deficitária ao paciente que sofre um IAM:
56% dos pacientes com IAM devido a oclusão aguda do vaso NÃO apresentam ECG com supra do segmento ST!!!
Até ⅓ dos pacientes com IAMSSST podem apresentar oclusão aguda total do vaso.
Apenas 6% dos pacientes classificados como de muito alto risco no cenário de SCA sem supra de ST são estratificados em menos de 2 horas.
E claro, não basta só criticar e não propor soluções.
Algumas das propostas para potencial otimização terapêutica destes pacientes com artéria ocluída e não diagnosticada, propostas pelos autores, são: valorização da clínica frente ao padrão de ECG sem supra de ST e o exame de imagem (ecocardiograma).
Um artigo que definitivamente deve entrar na sua lista de prioridades.

Os corticoides têm espaço no IAM?
Ensaio clínico randomizado (JAMA)
Silêncio na sala. Os reumatologistas e dermatologistas levantam-se e saúdam os recém-chegados cardiologistas.
E assim passamos a integrar o seleto grupo dos amantes de corticoide.
Assim seria, caso o estudo publicado no JAMA com o uso de corticoides pré-hospitalar no infarto agudo com supradesnivelamento do ST (IAMcSST) tivesse funcionado.
Brincadeiras à parte, até que a ideia tem uma lógica, quando pensamos no amplo processo inflamatório tanto associado ao risco antes do evento, como imediatamente após.
Foi sob essa perspectiva que um estudo dinamarquês testou a seguinte hipótese: será que uma dose robusta de glicocorticoide logo no início de um infarto poderia minimizar o dano ao coração?
O que foi feito?
O estudo foi um ensaio clínico randomizado que incluiu 530 pacientes com IAMcSST alocados para receber uma dose de metilprednisolona (250 mg) ou um placebo.
Tudo isso, ainda no ambiente pré-hospitalar – ou seja, antes mesmo de chegarem ao hospital para o tratamento definitivo. A ideia era ver se a intervenção reduzia o tamanho final do infarto após três meses, medido pela ressonância magnética cardíaca.
Quais os resultados?
Conforme o spoiler presente no início do texto, o resultado principal foi meio frustrante. O tamanho final do infarto foi praticamente o mesmo nos dois grupos – 5% no grupo do glicocorticoide versus 6% no grupo placebo.
Mas calma, nem tudo foi em vão.
Quando olhamos para os desfechos agudos (aqueles que acontecem logo de cara), o grupo que recebeu a metilprednisolona se saiu melhor: o tamanho do infarto inicial foi menor, a obstrução microvascular também foi reduzida, e a fração de ejeção ventricular esquerda foi maior – o que indica que o coração desses pacientes estava bombeando melhor nas fases iniciais.
Conclusão?
Embora o corticoide tenha dado sinais de melhora nos parâmetros iniciais, ele não foi capaz de diminuir o tamanho final do infarto após três meses, o que era o principal objetivo do estudo.
Os autores sugerem que talvez o estudo tenha sido “subdimensionado”, ou seja, não tinha poder suficiente para detectar uma diferença maior no tamanho do infarto final, já que o dano esperado foi menor do que o previsto.
Em resumo, a inflamação aguda pode até ter sido controlada, mas o impacto de longo prazo no tamanho do infarto não foi significativo.
A mensagem principal que fica é que o uso de glicocorticoide, pelo menos nesse formato, não será o “coringa” que os médicos esperavam para reduzir a extensão do infarto em longo prazo. No entanto, seus efeitos nos desfechos agudos abrem novas perguntas e possibilidades para estudos futuros.
Fim do mistério?
Revisão sistemática (JAMA Cardiology)
42. A resposta para a vida, universo e tudo mais.
O nerd raiz, fã do Guia do Mochileiro das Galáxias entendeu essa rs.
Na mundo da cardiologia intervencionista, temos o nosso próprio mistério a ser solucionado:
Qual o tempo certo de dupla antiagregação (DAPT) após uma síndrome coronariana aguda (SCA)?
Estamos um passo mais perto de chegar nessa resposta. Essa semana, foi publicado no JAMA Cardiology uma interessante metanálise (mais uma vez de um grupo de pesquisadores brasileiros! 🇧🇷) que avaliou a melhor estratégia de DAPT após a SCA.
Para isso, dividiram 4 grupos que compararam com a estratégia tradicional de 12 meses:
1 mês de DAPT seguido por monoterapia com inibidor da P2Y12;
3 meses de DAPT seguidos por monoterapia com inibidor da P2Y12;
3 meses de DAPT seguidos por monoterapia com AAS;
6 meses de DAPT seguidos por monoterapia com AAS.
A metanálise incluiu 15 ensaios clínicos randomizados, totalizando 35.326 pacientes, dos quais 32,1% apresentavam infarto com supradesnível do segmento ST (IAMcSST).
Vamos aos resultados:
🩸 Sangramentos x Benefícios Isquêmicos: O estudo revelou que, para pacientes que usaram DAPT por 1 mês seguido de inibidor de P2Y12 (em especial ticagrelor ou prasugrel), houve uma redução significativa no risco de sangramentos maiores em comparação aos 12 meses tradicionais, sem aumento de eventos cardíacos adversos maiores (MACCE).
Já a estratégia de 3 meses de DAPT seguida de P2Y12 foi considerada a melhor para reduzir eventos isquêmicos de longo prazo.
📊 Resultado prático: A grande vantagem da DAPT de curta duração é a redução de sangramentos, algo crucial para pacientes com maior risco hemorrágico.
No entanto, vale ressaltar que, apesar de não haver aumento significativo de MACCE, a possibilidade de maior risco em algumas subpopulações não pode ser descartada.
💊Atenção ao inibidor da P2Y12: como a maioria dos pacientes que receberam monoterapia com inibidor de P2Y12 estava tomando ticagrelor, a segurança de interromper a aspirina naqueles que estão tomando clopidogrel permanece incerta.
📝 O que dizem as diretrizes: Assim, esta estratégia de DAPT mais curta parece consolidar-se na prática clínica. A diretriz de doença coronária da ESC, publicada esse ano (e discutida há poucas semanas na DozeNews Prime!), já trouxe essa estratégia como opção IA nos pacientes com maior risco de sangramento e IIb para a população geral.
🗣 Com a palavra os autores:
Quem melhor que autor para nos resumir os principais achados, não é mesmo?!
Por isso, pedimos ao Dr Pedro Carvalho alguns pontos fortes e fracos do artigo, que ele nos resumiu da seguinte forma:
Pontos fortes: De acordo com nossos achados, cursos muito curtos de DAPT (1 a 3 meses) seguidos de monoterapia com inibidores potentes de P2Y12 são eficazes para manter a proteção isquêmica, ao mesmo tempo que reduzem o risco de sangramento em comparação com 12 meses de DAPT.
Utilizamos uma abordagem estatística conservadora, empregando análise bayesiana e agrupando estudos altamente semelhantes.
Excluímos estudos com intervalos de intervenção amplos, estudos com stents farmacológicos de primeira geração e ensaios mais antigos que estenderam a DAPT por mais de 12 meses. Isso nos permitiu focar em ensaios clínicos randomizados que refletem a prática clínica atual, o que aumenta a segurança na aplicabilidade dos nossos achados.
Pontos fracos: Embora a redução do sangramento seja um benefício esperado com a diminuição da duração da terapia dupla, há um risco potencial de aumento nos eventos isquêmicos. Nosso estudo demonstrou que uma antiagregação plaquetária dupla tão curta quanto 1 mês, utilizando aspirina e inibidores potentes de P2Y12, é suficiente para manter a eficácia.
No entanto, uma limitação potencial é que a população com SCA incluída nos ensaios clínicos pode ser de menor risco em comparação à população geral encontrada no mundo real, considerando a baixa incidência de eventos durante o acompanhamento em ambos os grupos.
Outro ponto a ser ressaltado é que a curta duração de DAPT, seguida por monoterapia com inibidores de P2Y12, foi investigada apenas com inibidores de alta potência. Não há dados suficientes para defender a monoterapia com clopidogrel após um período muito curto de DAPT.
Que Xou da Xuxa é esse?
Caiu na Mídia
Achava que a falta de senso crítico dos anos 90 e 2000 ficava só ao nível da televisão brasileira (banheira do Gugu, show da Xuxa, Ratinho descobrindo ETs)?
Essa é uma propaganda do governo de Nova York, de 2009, na qual um homem tenta beber um copo cheio de gordura.
É isso mesmo rs. A ideia (um tanto radical) era conscientizar as pessoas sobre os riscos da bebidas açucaradas.
Acha válido esse tipo de publicidade “chocante” para conscientizar a população dos risco à saúde cardiovascular presentes no dia a dia?
Deixe sua opinião nos comentários!
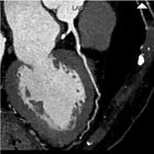
Imagem da Semana
Angiotomografia de coronárias de mulher de 70 anos, com teste ergométrico positivo e sem doença coronária obstrutiva na TC. Note a presença de um longo trajeto intramiocárdico acometendo todo o terço médio da artéria descendente anterior.
Será que ela é a culpada para a alteração isquêmica da nossa paciente ou estamos diante de uma “coincidência”?
Com certeza a pergunta de milhões rs. Temos uma DozeNews Prime sobre pontes miocárdicas, na qual trazemos as principais nuances do seu diagnóstico e alguns fatores preditores de repercussão hemodinâmica.
Você também tem uma bela imagem e quer compartilhar com a gente? Envie para o nosso e-mail plataformadozeporoito@gmail.com!
As demais novidades no mundo da cardiologia 🌎
💊 Colchicina se mantendo em alta: metanálise de estudos randomizados demonstrando benefício na prevenção secundária de pacientes com DAC ou AVC prévio.
💉 O uso rotineiro de protamina após a TAVI mostrou-se efetiva e redução pequenos sangramentos, tempo de hospitalização e do procedimento.
🦴 A caquexia cardíaca: o que você precisa saber no manejo desse perfil de paciente com IC avançada.
🩸 Bivalirudina pós-IAMcSST? Resultados de um estudo de validação externo do BRIGHT-4 confirmaram que o uso da bivalirudina em uma infusão por 2-4 horas após a angioplasta reduziu MACE e sangramento quando comparada à heparina.
😴 Interessante narrativa publicada no JACC demonstrou uma possível associação entre o uso do clopidogrel e um maior risco de overdose a opioide com o tramadol.
🔐 Discussão: devemos denominar doenças restritivas como IC FEP? Interessante ponto de vista publicado nos Arquivos Brasileiros de Cardiologia.






