Novo olhar sobre a morte súbita em atletas
Que tal desmistificar narrativas?
Você verá nesta edição:
🏃🏽♀️ Morte súbita em atletas: o que realmente sabemos em 2026 — incidência, causas ocultas, prevenção e retorno seguro ao esporte.
💰 AngioTC x cateterismo: por que começar pela tomografia pode ser mais custo-efetivo (e mais inteligente) na dor torácica estável no Brasil.
🫀 Pico hipertensivo no exercício: quando a pressão alta é adaptação fisiológica — e quando é sinal de risco oculto.
🥊 PCR venceu o LDL? como interpretar inflamação e lipídios na prática clínica.Morte súbita em atletas: o que realmente sabemos em 2026?
por Diandro Mota
Nunca se falou tanto em atividade física.
Corrida virou evento social, academia virou lifestyle, smartwatch virou item indispensável. Todo mundo, de alguma forma, está “treinando para alguma coisa”.
No meio desse boom do movimento, o esporte passou a ocupar um lugar quase sagrado: sinônimo automático de saúde, longevidade e proteção cardiovascular.
É justamente aí que mora o choque. Porque, ocasionalmente, o improvável acontece: morte súbita em atletas, pessoas vistas como o retrato máximo da saúde, e o debate sai do eixo, dominado por manchetes, palpites e explicações rápidas demais para um problema complexo.
Cientes da relevância desse tema, o New England Journal of Medicine publicou uma revisão abrangente, colocando ordem no caos: dados sólidos, narrativas desmistificadas e caminhos claros para prevenção e retorno seguro ao esporte.
Incidência: rara, mas não aleatória
A incidência varia amplamente conforme idade, sexo, raça, modalidade esportiva e determinantes sociais de saúde.
Homens, atletas negros e esportes como basquete, futebol e provas de endurance concentram maior risco.
🎯 Um ponto crucial: não houve aumento da incidência durante a pandemia de COVID-19, contrariando especulações amplamente divulgadas!
Causas: não é só cardiomiopatia hipertrófica
Nos atletas jovens, predominam doenças estruturais, elétricas e anomalias coronarianas. Já acima dos 25 anos, a doença arterial coronária assume papel central.
Um dado que muda a lente diagnóstica: em muitos casos, a autópsia é normal, sugerindo arritmias primárias e canalopatias, frequentemente confirmadas apenas por investigação genética.
Prevenção: ECG importa (e muito)
História clínica e exame físico isolados têm baixa sensibilidade. O ECG de 12 derivações, quando interpretado com critérios modernos para atletas, identifica cerca de 2/3 das condições associadas à morte súbita, com baixa taxa de falso-positivo.
A mensagem é clara: screening bem feito salva mais do que tranquiliza.
Planos de emergência salvam vidas
Sobrevivência após parada cardíaca em ambientes esportivos hoje pode chegar a quase 90% quando há DEA disponível, reconhecimento precoce e desfibrilação rápida.
Retorno ao esporte: a grande virada de paradigma
Talvez o ponto mais transformador da revisão: muitos atletas podem retornar ao esporte com segurança, desde que tratados adequadamente.
As diretrizes atuais migraram do “não pode” para o “como pode”, com decisões baseadas em decisão compartilhada, avaliação especializada e planos de emergência bem estruturados.
No fim das contas, a mensagem do NEJM é elegante e potente: não é sobre afastar pessoas do esporte, mas sobre torná-lo mais seguro, mais consciente e mais humano.
Vamos falar de custo-efetividade
por Maria Júlia Souto
Diante de um paciente com dor torácica estável, o que sai mais “em conta” para o sistema: começar a investigação com uma angiotomografia coronariana ou partir direto para o cateterismo diagnóstico?
A evidência nós já conhecemos. Diversos estudos, sendo o mais recente o DISCHARGE, demonstraram segurança e igual eficácia no início da investigação com o método não-invasivo.
Mas, na vida real, especialmente quando falamos de sistemas de saúde, públicos ou suplementares, a decisão raramente é apenas clínica. Ela passa, inevitavelmente, pelo custo. E aí surge a pergunta que sempre ficou no ar: essa estratégia, além de correta do ponto de vista médico, também faz sentido economicamente no contexto brasileiro?
Foi exatamente isso que o estudo publicado nos Arquivos Brasileiros de Cardiologia se propôs a responder.
Os autores realizaram uma análise de custo-efetividade comparando as duas estratégias iniciais na investigação da dor torácica estável (angioTC x CATE), em pacientes com probabilidade pré-teste intermediária, utilizando dados reais da saúde suplementar no Brasil.
O modelo incluiu custos de exames, insumos, hospitalizações por infarto e procedimentos de revascularização, além de uma análise de impacto orçamentário ao longo de cinco anos.
O resultado é difícil de ignorar:
A angioTC como estratégia inicial foi dominante em relação ao cateterismo diagnóstico: menor custo e melhores desfechos clínicos.
Em uma coorte simulada de 100 mil beneficiários, houve:
💰 Economia média de R$ 1.021,00 por vida em 5 anos
💸 Redução total de custos superior a R$ 100 milhões no período
E isso sem aumentar eventos. Pelo contrário, houve menos infartos, menos hospitalizações e menor necessidade de revascularização miocárdica.
O achado se manteve consistente quando os autores analisaram separadamente as cinco regiões do Brasil, apesar das variações regionais de custos e infraestrutura. A análise de sensibilidade reforçou a robustez dos dados, com mais de 90% das simulações apontando a angioTC como estratégia economicamente superior ao cateterismo diagnóstico inicial.
Quando falamos de impacto orçamentário, mesmo com uma incorporação conservadora e progressiva (5% ao ano, chegando a 25% em 5 anos), a economia já aparece desde o primeiro ano.
⚠️ Mas, como todo estudo com números tão impactantes, vale parar um minuto e olhar com atenção para algumas limitações:
Como toda análise de custo-efetividade baseada em modelagem, os resultados precisam ser interpretados com cautela. O estudo se apoia principalmente nos dados de eventos do DISCHARGE trial, um ensaio clínico robusto, mas com seus próprios problemas metodológicos e que está longe de refletir toda a heterogeneidade da prática clínica brasileira (com certeza os resultados seriam bem diferentes com um estudo mais favorável ao cateterismo).
Além disso, a análise foi restrita a pacientes com probabilidade pré-teste intermediária de doença coronariana estável, o que limita a extrapolação dos achados para cenários de baixo ou alto risco.
Outro ponto importante é que a comparação foi feita apenas entre angioTC e angiografia coronária invasiva, sem incluir testes funcionais amplamente utilizados na prática clínica.
Por fim, lembre-se que estamos no Brasil rs. Os custos também foram estimados com base em tabelas oficiais, que nem sempre refletem os valores reais negociados entre operadoras e prestadores.
Ainda assim, mesmo à luz dessas limitações, o estudo oferece uma mensagem robusta: no cenário brasileiro da saúde suplementar, começar a investigação da dor torácica estável pela angioTC parece alinhar evidência clínica, segurança e racionalidade econômica.
Pico hipertensivo x aptidão física
por Marcos Meniconi
Situação clássica de consultório: “Doutor, minha pressão sobe muito durante a atividade física… devo me preocupar?”
E a resposta veio da terra do canguru. Em tempos de Australian Open, a cardiologia também resolveu olhar para os aussies. E, curiosamente, não foi para apresentar uma tecnologia disruptiva, inteligência artificial ou algum novo marcador molecular da moda.
O destaque veio para algo bem mais clássico e, para muitos, até “batido”: o bom e velho teste ergométrico.
À primeira vista, o tema parece conhecido demais para render novidade. Mas um grande estudo australiano, publicado no European Heart Journal, mostrou que talvez o problema nunca tenha sido o exame em si, e sim como interpretamos alguns de seus dados.
Os autores analisaram uma base robusta, com mais de 12 mil pacientes submetidos a teste ergométrico em múltiplos centros, acompanhados por cerca de quatro anos para desfechos cardiovasculares fatais e não fatais.
A pergunta central era simples e prática: será que uma elevação exagerada da pressão arterial durante o esforço é realmente ruim em todos os casos, ou isso depende do quanto de esforço o paciente consegue realizar?
Para responder a isso, o estudo propôs uma mudança de lente. Em vez de avaliar apenas a pressão sistólica absoluta durante o exercício, os pesquisadores relacionaram esse aumento ao nível de intensidade alcançado no protocolo de Bruce. Assim, surgiu a métrica mmHg/MET, que expressa quanto a pressão sistólica sobe para cada unidade de MET atingida.
Em outras palavras: quem “sobe muita pressão para pouco esforço” estaria em maior risco?
Como se fosse uma vitória de Alcaraz ou Sinner em quadra, a resposta também não trouxe surpresas: sim.
Pacientes com incremento desproporcional da pressão arterial em relação à capacidade funcional apresentaram piores desfechos cardiovasculares, especialmente quando esse fenômeno ocorria já nos estágios iniciais do teste.
Valores acima do percentil 90 de mmHg/MET associaram-se a maior incidência de eventos cardiovasculares fatais e não fatais, mesmo após ajustes para idade, sexo e pressão arterial basal.
❗️Um ponto de corte chamou atenção pela consistência dos achados: ≥18 mmHg/MET ainda no primeiro estágio do teste ergométrico. Esses pacientes apresentaram risco aproximadamente duas vezes maior de eventos cardiovasculares, além de maior incidência de infarto do miocárdio e fibrilação atrial durante o seguimento. Curiosamente, quando a pressão sistólica era analisada de forma isolada, sem considerar a capacidade funcional, essa associação simplesmente desaparecia.
O recado do estudo é sutil, mas poderoso. A resposta hipertensiva ao exercício não pode ser interpretada fora do contexto da aptidão física.
Uma pressão elevada em cargas altas pode ser fisiológica; a mesma pressão em cargas baixas pode sinalizar risco oculto.
Incorporar a relação entre pressão e MET transforma um dado rotineiro do teste ergométrico em uma ferramenta prognóstica adicional, simples e potencialmente aplicável na prática diária.
O PCR venceu a disputa?
Caiu na Mídia
“A proteína C reativa supera o “colesterol ruim” como principal perigo para o coração"
Será?! Pelo menos é isso que sugere a manchete recente do Estadão.
A matéria parte de um ponto correto, mas escorrega quando transforma avaliação adicional em uma comparação entre os dois parâmetros.
O texto reforça algo que a cardiologia moderna já sabe bem: a aterosclerose não é só uma doença de gordura, é uma doença inflamatória crônica. E, nesse contexto, a proteína C reativa de alta sensibilidade (PCR-us) emerge como um marcador robusto de risco cardiovascular, especialmente do chamado risco residual inflamatório, aquele que persiste mesmo quando o LDL já está “no alvo”.
O problema começa quando a manchete sugere uma “troca de protagonista”. A própria literatura deixa claro: inflamação e lipídios caminham juntos. O LDL participa da gênese da placa; a inflamação sustenta sua progressão, vulnerabilidade e ruptura. Não à toa, a PCR-us é útil para reclassificar risco, identificar quem permanece em perigo apesar do LDL baixo e guiar decisões terapêuticas mais finas.
A última diretriz de dislipidemia da SBC não me deixa mentir:
Outro ponto importante, pouco explorado na mídia, é que PCR-us mede inflamação sistêmica, não “inflamação da artéria”. Infecções, doenças autoimunes, traumas e outras condições podem elevá-la transitoriamente. Por isso, a boa prática inclui dosagem seriada, atenção à unidade (mg/L!) e interpretação clínica contextualizada.
A matéria também acerta ao destacar que estilo de vida importa: cessar tabagismo, dieta mediterrânea, atividade física, sono adequado e controle do estresse reduzem PCR-us de forma consistente. E vai além quando cita que terapias consagradas, como estatinas, reduzem eventos não só pelo LDL, mas também pelo efeito anti-inflamatório.
Ensaios como JUPITER e CANTOS foram fundamentais para provar que inflamação é alvo terapêutico válido, embora não isento de riscos e longe de soluções mágicas
E se esse tema te interessou, fica a dica: além de uma belíssima edição da DozePrime, temos também um episódio campeão de audiência do DozeCast, com a participação do Bruno Mioto.
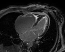
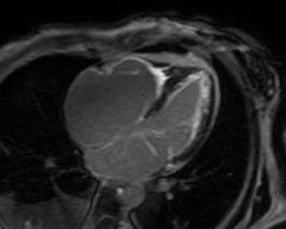
Imagem da semana
Ressonância magnética cardíaca em sequência de realce tardio ao gadolínio com a presença de fibrose subendocárdica difusa biventricular.
Spoiler: a resposta é o tema da DozePrime da semana!
Fique por dentro
😞 Fibrilação atrial e depressão: dupla que compartilha mais do que parece. Revisão no JACC destaca que ambas condições envolvem disfunção autonômica e que tratar a depressão pode ajudar no manejo da FA.
📝 Planejar é tudo na angioplastia de oclusões crônicas, e a angiotomografia pode ser o mapa! Revisão no JACC mostra que o uso de angiotomografia coronariana antes da PCI de oclusão total crônica aumenta as taxas de sucesso. A técnica ajuda a avaliar anatomia, prever dificuldades e, com apoio da inteligência artificial, promete resultados ainda melhores.
👀 É tudo uma questão de como enxergamos (e reportamos!). Estudo com quase mil pacientes mostrou que apenas o número de segmentos viáveis e ao mesmo tempo em risco (”jeopardized but viable“) se associou à menor mortalidade com revascularização precoce.
💊 TAVR não é desculpa para negligenciar o tratamento da IC! Estudo prospectivo no JACC mostra que pacientes com fração de ejeção reduzida submetidos ao TAVR recebem pouco da terapia otimizada para insuficiência cardíaca.
🥇Sessão TOP 10 do European Heart Journal de 2025:
⚡️Como estimular o VE? Ramo esquerdo ou biventricular? Modelo canino traz insights sobre as diferenças entre estas técnicas de pacing.







