O relógio biológico do coração
A relação do ciclo circadiano e as doenças cardiovasculares, as previsões da cardiologia para 2050 e o risco da fibrose miocárdica em atletas.
Como anda o seu ciclo circadiano?
Artigo de revisão (EHJ)
Papo de esoterismo? Nada disso. É ciência das boas!
Uma revisão do estado da arte publicada no European Heart Journal crava: o “relógio biológico” influencia da gênese ao desfecho das doenças cardiovasculares.
Arritmias, infarto, IC, morte súbita… tudo isso parece ter hora certa para acontecer. E a culpa pode estar em como você dorme, se alimenta e até em quando prescreve. Veja a imagem a seguir:

O foco do artigo é compreender as mudanças ocorridas no sistema nervoso central e periférico, cardiovascular e hematológico ao longo das 24 horas do dia. Além das alterações fisiológicas, a disfunção do “relógio biológico” está associada à ocorrência das mais variadas doenças cardiovasculares.
No plano macroscópico, o centro supraquiasmático do hipotálamo é responsável por reagir ao ciclo de luz de dia e noite. Esse maestro interpreta o ciclo claro-escuro e regula (via proteínas como CLOCK, PER, CRY, ROR) uma orquestra de processos fisiológicos, desde a pressão arterial ao ritmo cardíaco, passando por inflamação, metabolismo e contratilidade.
O resultado está na incidência de cada um dos eventos cardiovasculares em diferentes horários dentro do ciclo:
Infarto: até 3x mais comum pela manhã. Maior agregação plaquetária + pico de catecolaminas explicam o risco.
E o tamanho do infarto também varia com o horário!
Morte súbita: maior incidência entre 6h e 12h, auge do tônus simpático.
Fibrilação atrial: tende a acontecer à noite, influenciada pelo tônus vagal.
Brugada e outras arritmias: mais frequentes durante o sono, inclusive em apneia.
IC: ritmo circadiano atenuado, com impacto em função cardíaca, neuro-hormônios e resposta inflamatória. E mais: alterações no ciclo sono-vigília pioram prognóstico.
Talvez agora alguns “padrões” nos seus plantões comecem a fazer sentido, não é? rs.
Do ponto de vista diagnóstico esse conhecimento tem relevância, uma vez que biomarcadores como BNP, troponina T e até a variabilidade da FC oscilam ao longo do dia.
Além disso, a chamada cronoterapia ganha força: alinhar o horário da medicação com o ritmo do corpo pode otimizar efeitos e reduzir riscos.
Anti-hipertensivos à noite podem reduzir eventos (com ressalvas, e falta de evidência clara em estudos recentes como o BedMed e o TIME).
Rivaroxabana e AAS em horários específicos podem modular melhor a coagulação.
Pacientes com IC apresentam maior chance de distúrbios do sono que, por sua vez, aumentam o tônus adrenérgico que está associado a maior dificuldade de controle pressórico e da FC. O controle do ciclo sono-vigília torna-se peça importante no tratamento.
A revisão conclui que ritmos circadianos impactam diretamente o risco e a evolução das doenças cardiovasculares.
⏰ Alinhar cuidados ao relógio biológico pode otimizar tratamentos e melhorar prognóstico.
O futuro da cardiologia em números: o que esperar até 2050?
Artigo de revisão (JACC)
Acaba de ser publicado no JACC um artigo que merece a nossa atenção: “The Global Syndemic of Modifiable Cardiovascular Risk Factors Projected From 2025 to 2050”.
O termo “Syndemic” é central: mostra que hipertensão, obesidade, diabetes, dislipidemia e tabagismo não atuam isoladamente! Eles se alimentam entre si e serão responsáveis por uma escalada preocupante na carga global de doenças cardiovasculares.
👍🏼 O lado bom: as taxas padronizadas por idade devem cair, mostrando efeito positivo das estratégias de prevenção e tratamento.
👎🏼 O lado preocupante: mesmo com essas quedas proporcionais, o número absoluto de mortes e anos de vida perdidos (DALYs) vai aumentar.
Vamos a alguns destaques do estudo:
Hipertensão continua sendo a líder em mortes e incapacidade;
Obesidade ultrapassa o tabagismo e se torna o segundo maior vilão;
Diabetes crescerá quase 90% em carga global de DALYs;
O aumento da carga será especialmente grave nos países de média e baixa renda;
Homens jovens terão crescimento acelerado de risco, enquanto nas mulheres o aumento é mais tardio.
🎯 Nossa análise:
Apesar do avanço em remédios (olá aGLP-1 e iSGLT2!), o controle da obesidade e do diabetes continua lento.
Já as maiores melhorias virão no controle da pressão arterial e do colesterol. O desafio segue na transformação de ambientes obesogênicos e no acesso equitativo ao tratamento.
O recado do artigo é claro: se quisermos vencer o jogo da longevidade, precisamos agir AGORA, principalmente com prevenção precoce e intervenções populacionais de impacto.
Fibrose no atleta: marcador de risco?
Coorte (Circulation: Cardiovascular Imaging)
O remodelamento cardíaco em atletas de endurance não é novidade para ninguém. Aumento de cavidades, hipertrofia excêntrica, bradicardia sinusal… nada disso assusta mais.
Mas, e quando aparece fibrose na ressonância de um atleta com “coração de ferro”? Aí a história muda.
Estudos com RMC têm mostrado uma prevalência considerável de realce tardio com padrão não isquêmico nessa população.
O estudo VENTOUX avaliou 106 atletas veteranos (homens ≥50 anos, praticando esportes de endurance por mais de 15 anos) e levantou uma questão incômoda: a presença de fibrose miocárdica nesses atletas pode estar ligada a arritmias ventriculares perigosas?
Os resultados nos ligam um alerta imediato: quase metade dos atletas tinha fibrose focal, predominantemente na parede inferolateral do VE, e entre esses, o risco de arritmia foi quase cinco vezes maior.
🔎 Principais achados do VENTOUX:
47% dos atletas apresentavam fibrose focal não isquêmica na RMC.
22% tiveram arritmias ventriculares durante 2 anos de seguimento com loop recorder implantável.
Todos os casos de TV sustentada ocorreram em atletas com fibrose.
Além da fibrose, VE dilatado e extrassístoles ventriculares durante o exercício também aumentaram o risco.
O realce tardio no ponto de inserção do VD, tão comum em atletas, não foi associado a arritmia.
⚠️ A fibrose na RMC pode não ser tão “inofensiva” assim, mesmo em atletas assintomáticos com VO2 de dar inveja. Pode sinalizar um risco arrítmico oculto, ou até uma cardiomiopatia subclínica.
E é esse o ponto que ainda precisamos de mais estudos para compreender: será que a fibrose em si já é um marcador arritmogênico e faz parte do processo prolongado de treinamento, ou será que estamos diante do marcador de uma cardiomiopatia sobreposta?
Ainda acha que risco cardiovascular se resume a colesterol?
Powered by Novo Nordisk
Durante anos, aprendemos a mirar no LDL. Mas e quando ele está controlado… e o paciente mantém eventos cardiovasculares, como o infarto?
A resposta pode estar na inflamação (e não estamos falando de sorinho da imunidade, detox, ozônioterapia e afins rs)!
🎙️ No episódio dessa semana do DozeCast recebemos o Dr Bruno Mioto para explicar por que a inflamação deixou de ser figurante e virou protagonista na prevenção cardiovascular.
Do JUPITER ao CANTOS, da PCR ultrassensível ao inflamassoma NLRP3, passando por colchicina e alvos terapêuticos que já estão na prática, tudo o que você precisa saber sobre o “lado B” da prevenção está aqui.
💡 Se você ainda trata só o LDL, é hora de atualizar a lente.
O episódio vai ao ar nesta quinta-feira nas principais plataformas de áudio. Dá o play e enxergue o risco cardiovascular com outros olhos.
O dossiê médico de Donald Trump
Caiu na Mídia
É, ele não sai das manchetes, e na DozeNews não seria diferente rs.
Se todos os dias ele ameaça investigar alguma do Brasil (é Pix, 25 de março, visto de juiz e por aí vai…), resolvemos entrar na dança e analisar o relatório médico que vem circulando sobre a saúde do presidente dos Estados Unidos.
Sim, o fato de, aos 79 anos, ele ter sido o presidente eleito mais velho da história estadounidense (ponto importante aqui na longevidade!), já foi tema de discussões na mídia acerca da sua saúde.
Em abril, um relatório médico detalhado declarou que ele estava “totalmente apto” para exercer seu segundo mandato, com controle rigoroso do colesterol (rosuvastatina + ezetimiba), uma pressão arterial levemente elevada e exames cognitivos impecáveis — incluindo um 30/30 no Montreal Cognitive Assessment.
Mas nesta semana, a Casa Branca anunciou um novo diagnóstico: insuficiência venosa crônica, detectada após Trump notar inchaço nas pernas. Segundo o médico oficial, exames vasculares e ultrassom revelaram a condição, que apesar de comum e benigna, exige atenção contínua para evitar complicações como trombose venosa profunda, úlceras e linfedema.
💊 No balanço clínico mais recente:
Colesterol total: 140 mg/dL (já foi 223 em 2018) - que linda uma prevenção primária bem feita (mas queria informações do LDL e da Lp(a) rs).
PA: 128/74 mmHg;
FC de repouso: 62 bpm;
Uso de aspirina (explicando hematomas nas mãos) - a Casa Branca foi de encontro a todas as diretrizes e prescreveu AAS na prevenção primária?! 🫢
Cicatriz na orelha direita (herança de um atentado em 2024);
Histórico de Covid grave, com internação em 2020.
Trump é um exemplo clínico vivo de como o envelhecimento cardiovascular exige vigilância mesmo em todos os indivíduos. As comorbidades e a prescrição do “homem mais poderoso do mundo” não estão muito diferentes do nosso paciente senhorzinho que atendemos no SUS rs.
E tem mais: o foco da imprensa sobre cognição e capacidade funcional reflete uma nova era em que saúde geriátrica e política se entrelaçam. No fim das contas, o prontuário de Trump diz tanto sobre ele quanto sobre a forma como a sociedade encara o envelhecimento ativo e os limites da saúde em cargos de poder.
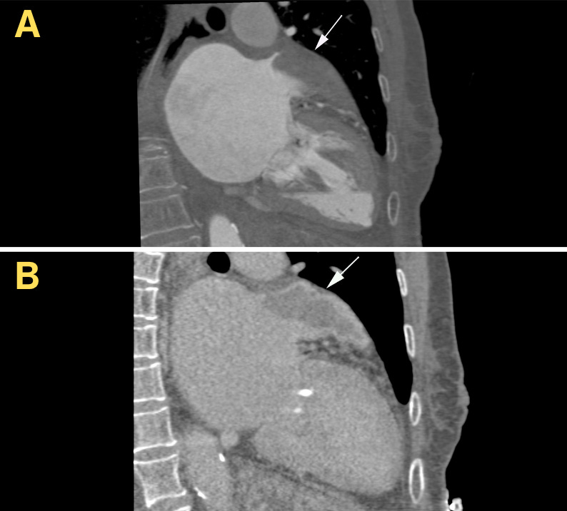
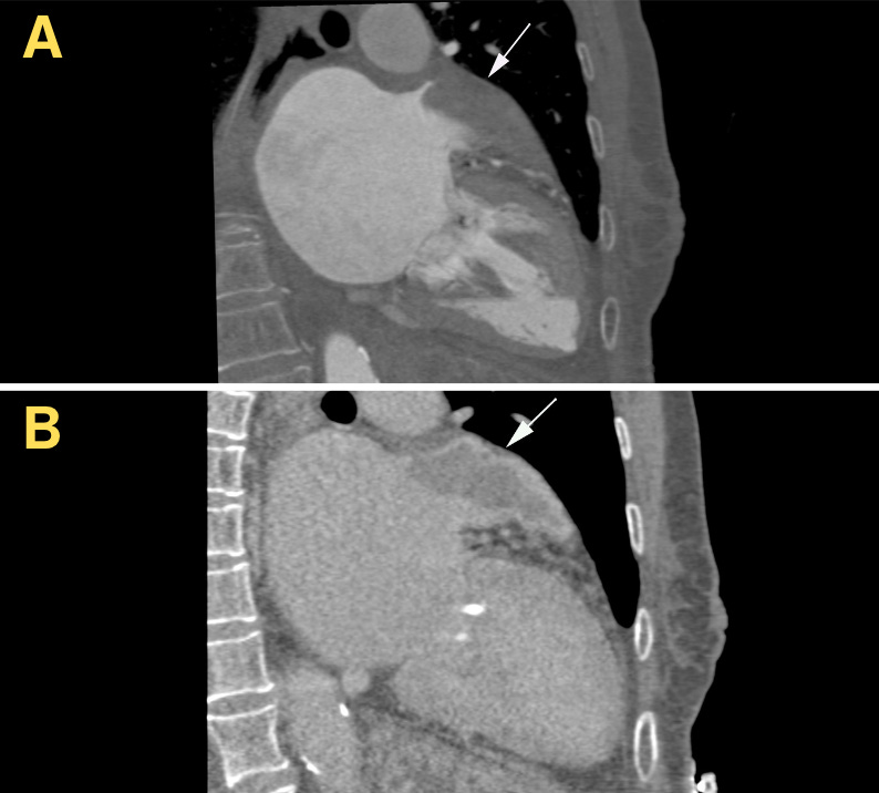
Imagem da semana
Angiotomografia do coração no planejamento de oclusão do apêndice atrial esquerdo (AAE)... e uma surpresinha: um trombo enorme ocupando boa parte da estrutura.
A dica clínica é valiosa: sempre que houver uma falha de enchimento no AAE, é fundamental realizar uma fase tardia (cerca de 1 a 2 minutos após a injeção do contraste). Isso ajuda a diferenciar se a falha é apenas resultado de enchimento lento, que desapareceria na fase tardia, ou se estamos realmente diante de um trombo, que se mantém ou até se torna mais evidente nessa fase.
💭 O que fazer agora em relação ao planejamento da oclusão do AAE? Está contraindicado?
Que tal revisar o tema na DozeNews Prime?
Fique por dentro
🧲 Arma poderosa a nosso favor: RESSONÂNCIA MAGNÉTICA CARDÍACA! Artigo de revisão caprichado do EHJ demonstra a importância da detecção do realce tardio em pacientes com miocardiopatia isquêmica e não isquêmica e sua capacidade de predizer o risco de morte súbita.
🤖 ECG AI ENHANCED! Fez ECG e diagnosticou insuficiência mitral. Bem vindo a 2025! Estudo mostra a capacidade da IA para predizer lesões valvares regurgitantes.
💊 IA em todas as áreas mas como pode auxiliar o paciente a ajustar e aderir ao tratamento medicamentoso? EHJ demonstra de maneira didática o impacto da AI na farmacoterapia.
🔎 Usar a ressonância cardíaca primeiro pode evitar até metade dos cateterismos em pacientes com insuficiência cardíaca recente — sem perder diagnóstico de isquemia. Neste estudo multicêntrico com pacientes com IC FER, a estratégia "CMR primeiro" teve sensibilidade similar ao cateterismo (91% vs 90%) para identificar miocardiopatia isquêmica.
👦🏻 Os cuidados precisam começar cedo! Dados do estudo CARDIA mostram que manter ou melhorar o escore “Life’s Essential 8” na juventude está fortemente ligado à menor chance de doenças cardiovasculares e mortalidade na meia-idade.
🔥 Na pegada da última DozeNews Prime sobre inflamação e o coração: calprotectina surge como novo biomarcador inflamatório promissor para risco cardiovascular, com papel direto na lesão endotelial.
📍 Guiar angioplastias com OCT em lesões calcificadas resulta em melhor expansão do stent. No estudo CALIPSO, pacientes com lesões coronárias calcificadas moderadas a graves tiveram maior área mínima de stent quando o procedimento foi guiado por tomografia de coerência óptica (6,5 mm² vs 5,0 mm²), com uso mais frequente de litotripsia intravascular.








