Vai encarar?
Novo consenso da AHA sobre revascularização em idosos e mais desafios da cardiologia
Revascularização em idosos: encara ou corre?
Consenso AHA (Circulation)
Idade é só um número? Talvez sim, mas só até chegar ao consultório aquele paciente idoso com indicação de revascularização rs.
A nova declaração científica da AHA traz um panorama bem mais moderno (e honesto!) sobre o que realmente importa quando o assunto é doença arterial coronária (DAC) em idosos.
Nessa população, antes de partirmos para questões técnicas ou de risco periprocedimento, precisamos olhar para o paciente e a complexidade do contexto geriátrico, que pode ser estruturado no 5 Ms da geriatria:
Matters Most: o que realmente importa para o paciente — autonomia? longevidade? evitar UTI?
Aqui, entender questões paliativas e desejos de não-RCP e não-IOT são essenciais.
Medicações: há representação melhor de polifarmácia que o paciente idoso? Então entender a farmacocinética e as interações é essencial.
Mente: avaliação do cognitivo, dos riscos de delirium e até mesmo da capacidade de consentimento.
Mobilidade: importante preditor da recuperação após procedimento.
Multicomplexidade: a multimorbidade soma-se à fragilidade e os demais fatores geriátricos, criando um cenário de vulnerabilidade muito maior que a soma das doenças isoladas.
Feita essa avaliação inicial, o próximo passo é embasar a sua decisão de revascularização e o risco periprocedimento com base em 4 pilares principais:
Risco cardiovascular: aqui entram GRACE, TIMI, choque, instabilidade elétrica e tudo aquilo que influencia nos desfechos a curto prazo.
Risco hemodinâmico: a reserva cai com a idade, a descompensação é mais rápida e o impacto do choque é devastador nos ≥75 anos.
Risco anatômico/procedural: a tríade do terror representada pela calcificação severa, tortuosidade e doença difusa, que exigem devido planejamento e técnica.
Risco geriátrico: o novo pilar oficial que combina a avaliação de cognição, funcionalidade, sarcopenia, suporte social, polifarmácia e expectativa real de benefício.
Com esses quatro pilares equilibrados, intervir faz sentido. No entanto, se algum deles desaba, a nossa abordagem precisa ser revista.
Além disso, o consenso ainda aborda contextos da síndrome coronariana aguda e da DAC estável. Quando o assunto é IAMcSST a AHA é categórica: mesmo nos ≥80 anos, a angioplastia primária continua sendo a melhor estratégia, segura e associada a melhor prognóstico.
Já no IAMsSST, a história é outra: o benefício é modesto, e estudos como o SENIOR-RITA mostram redução de reinfarto, mas sem impacto claro em mortalidade nos ≥75 anos.
Na DAC estável, o centro da decisão é qualidade de vida, não sobrevida. A angioplastia (ATC) ou cirurgia melhoram sintomas, mas o benefício em desfechos duros é incerto nos mais velhos.
E no duelo PCI vs cirurgia, a cirurgia ainda vence em diabéticos multiarteriais ou anatomias complexas, mas isso só vale para idosos robustos. Nos frágeis, a ATC domina como opção mais segura.
Por fim, a revascularização completa traz boas notícias: COMPLETE, FIRE e metanálises envolvendo pacientes ≥75 anos mostram menos eventos, sem aumento de sangramento ou dano renal. O COMPLETE-2 vem aí para preencher as lacunas que restam nos muito idosos.
No fim das contas, revascularizar o idoso não é sobre “fugir ou ficar”. É sobre escolher o caminho que realmente adiciona vida, e não só tratamento, aos anos desse paciente.
Determinantes sociais do envelhecimento
Artigo de revisão (JACC)
Esqueça por um minuto idade, telômeros, fibroblastos, calcificação...
A revisão do JACC: Advances traz uma provocação poderosa: determinantes sociais têm influência no envelhecimento cardíaco.
Raça/etnia, escolaridade, renda, acesso digital e transporte, moldam o envelhecimento cardiovascular em múltiplas dimensões: vascular, miocárdica, valvar e elétrica.
Esse processo começa cedo, muito cedo.
Crianças negras desenvolvem rigidez arterial mais precoce, carregando para a vida adulta maior risco de hipertensão e disfunção cardíaca.
Pessoas negras vivem o “weathering”, um envelhecimento biológico acelerado pela soma de estresse tóxico, discriminação e menor acesso a recursos.
Mulheres acumulam mais fibrose intersticial e caminham para IC FEP; homens somam mais arritmias e mortalidade precoce.
Em meio a tudo isso, a geografia também importa: bairros sem infraestrutura, sem áreas verdes ou com food deserts envelhecem endotélio e artérias antes da hora.
Educação também é determinante: menos escolaridade significa menos adesão, menos prevenção e mais doença ao longo de toda a vida.
Já no adulto jovem, surgem novos determinantes: segurança alimentar, acesso digital e renda. Esses três definem quem consegue se cuidar, aderir, monitorar e se conectar com o sistema.
Insegurança alimentar → inflamação, hipertensão, obesidade, pior IC → rejuvenescimento negativo do coração.
Pouco acesso à internet → menos telemonitorização, menos reabilitação, menos especialista → pior sobrevida.
Baixa renda → mais estresse, menos terapias medicamentosas guiadas pelas diretrizes (GDMT), atraso em procedimentos.
Já na velhice, os determinantes de destaque são conexão social, transporte e homebound (condição funcional/social em que a pessoa quase nunca sai de casa, e não por escolha, mas por limitação física, cognitiva, social ou logística).
Fica claro que não é o idoso que “abandona o sistema”: o sistema o abandona quando não chega até ele.
Não temos como fechar os olhos para a influência dos determinantes sociais na saúde. Para quem transita entre mundos tão diferentes como o SUS e clínicas privadas, isso salta aos olhos todos os dias: o endereço, o acesso, o transporte, a comida e a conexão digital falam tão alto quanto qualquer biomarcador.
E aqui está o ponto: não falta ciência. O que falta é coragem de transformar essa ciência em estratégia. Precisamos assumir, como comunidade, que enfrentar aterosclerose, IC, fibrilação e fragilidade exige também enfrentar fome, isolamento, desigualdade e barreiras de acesso.
Não é “além da medicina”. Isso é medicina. Ignorar esses fatores é perpetuar um sistema que envelhece uns mais rápido do que outros.
Avaliação invasiva de isquemia
Artigo de revisão (Circulation)
FFR, iFR, cFFR, INH… O estudo da fisiologia coronariana por meio dos métodos de avaliação funcional invasiva tem se tornada uma grande sopra de letrinhas.
Se para quem vive o dia a dia da hemodinâmica o tema já é complexo, para nós, clínicos, muitas vezes parece ainda mais distante da rotina e envolto numa névoa de detalhes técnicos.
O Circulation publicou um statement bem técnico, mas, ao mesmo tempo, extremamente completo, sobre o uso dessas metodologias e suas nuances práticas. A ideia aqui é justamente traduzir esse conteúdo para o olhar do cardiologista clínico: o que realmente importa, o que muda conduta e como interpretar cada teste sem cair nas armadilhas mais comuns.
FFR continua como padrão-ouro, com ~20% de discordância em relação aos INH.
Os índices não hiperêmicos (INH) têm boa praticidade, mas concordam com o FFR em torno de 80%. A discordância aumenta em vasos de alto fluxo, lesões focais e CFR reduzida. Em INH entre 0,86–0,93, recomenda-se hiperemia (cFFR ou adenosina). Se houver conflito, o FFR deve prevalecer.
FFR e INH são contínuos.
Os valores de 0,8 e 0,89 para o FFR e INH respectivamente não são isentos de mudança ou interpretação. Em alguns estudos prévios valores de 0,75 e 0,86 já foram considerados positivos para isquemia. Os valores atuais apresentam maior valor preditivo negativo mas é sempre recomendado compreender a apresentação clínica do paciente.
Cafezinho liberado.
Para os mais preocupados com a ação da cafeína como confundidora do teste, podem ficar tranquilos. O café está liberado antes da realização de FFR e INH.
Adenosina em bolus ou contínua?
Se já leu sobre o tema pode ter estranhado nunca ter visto o uso de adenosina endovenosa contínua. Realmente a maioria dos serviços opta por fazer uso da dose em bolus. Há prós e contras de ambas as técnicas (algo que deixaremos para os colegas que realizam o procedimento).
FFR com contraste.
Interessante forma de realizar o FFR e obter um resultado mais acurado que os INH! Pouco realizada mas com estudos que mostram resultados confiáveis.
A administração de contraste leva a vasodilatação e aumento de fluxo coronário, devendo ser avaliado o FFR ao redor de 10 segundos após a administração de 6 a 10 ml de contraste intracoronário (quantidade habitualmente administrada de contraste em um coronariografia.
Síndrome coronariana aguda.
A avaliação dos vasos não culpados pode ser realizada durante o tratamento da lesão culpada ou posteriormente. Não há consenso ainda se a revascularização completa guiada por isquemia proporciona maior benefício em comparação a guiada por angiografia.
Tronco da coronária esquerda.
É possível realizar! No entanto, o hemodinamicista deve levar em consideração diversos aspectos técnicos. É um procedimento mais trabalhoso, devendo-se avaliar o FFR na DA e Cx e considerar a interferência de lesões nestes vasos (caso para gente que sabe o que está fazendo para não cair em armadilhas).
O escândalo dos dispositivos cardíacos na Inglaterra
Caiu na Mídia
O que acontece quando um dispositivo de suporte ventricular, literalmente uma ponte entre a vida e a morte, continua sendo implantado mesmo após alertas oficiais de mais óbitos que o concorrente?
A BBC revelou um dos maiores escândalos recentes da cardiologia britânica: entre 2018-2021, dois dos principais centros de transplante cardíaco (Freeman Hospital (Newcastle) e no Harefield Hospital (Londres)) continuaram implantando o dispositivo de assistência ventricular (LVAD) da Medtronic (HeartWare HVAD).
O problema? Desde 2018, dados do NHS já mostravam uma mortalidade quase três vezes desses dispositivo quando comparado com o concorrente, o HeartMate III.
O site do FDA (agência norte-americana de regulação) destaca que a Medtronic interrompeu a venda e a distribuição do sistema HeartWare Ventricular Assist Device (HVAD) em 3 de junho de 2021, devido ao aumento do risco de mortalidade e de eventos neurológicos adversos em pacientes que utilizavam o dispositivo, além de um defeito no qual o aparelho pode falhar ao reiniciar.
No centro do debate está o caso de Greg Marshall, jovem de 26 anos que entrou em insuficiência cardíaca aguda em 2019. Ele e a família não foram informados dos dados já conhecidos sobre maior risco do dispositivo.
Durante a cirurgia, Greg sofreu um AVC, viveu com sequelas importantes e, um ano depois, o LVAD simplesmente falhou e não reiniciou, um defeito reconhecido pela empresa meses depois.
A BBC também revelou que líderes cardiologistas dos dois centros eram consultores pagos da Medtronic, relação conhecida pelos hospitais, mas não comunicada às famílias, apesar das regras do Conselho Médico Britânico exigirem transparência. As instituições defendem que os dados do NHS não eram “cientificamente confiáveis”, mas documentos obtidos pela imprensa mostram que a mortalidade continuou consistentemente maior com o dispositivo da Medtronic entre 2018 e 2021.
O caso reacende discussões pesadas sobre conflitos de interesse, falhas regulatórias, transparência com pacientes e responsabilidade institucional.
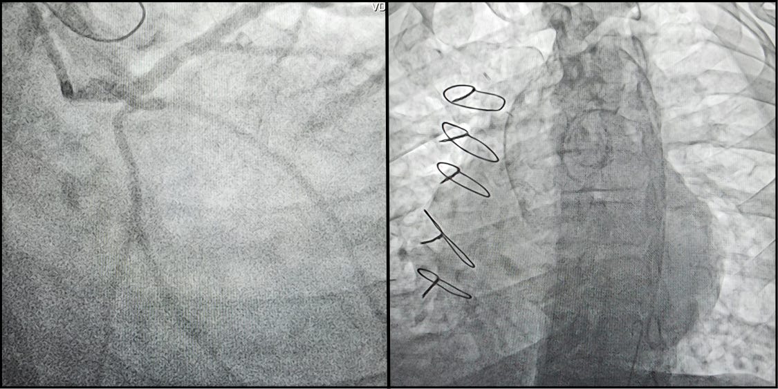
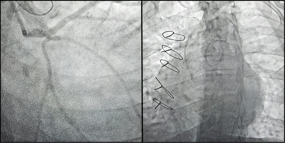
Imagem da semana - DESAFIO!
Paciente de 53 anos, submetido angioplastias e CRM com dupla mamária há 5 anos. Encaminhado devido a falha do resultado cirúrgico por oclusão da dupla mamária e presença de estenose aórtica importante.
CATE: lesão do óstio do TCE e CD proximal sem lesões distais.
Difícil, hein?! Resposta na próxima semana 😉.
Fique por dentro
🦀 Inflamação coronariana é mais comum em quem tratou câncer recentemente. Estudo com mais de 1.100 pacientes revelou maior índice de inflamação coronariana em indivíduos com histórico de câncer nos últimos 5 anos, reforçando a conexão entre câncer, tratamento recente e risco cardiovascular.
👴🏼 Coração que envelhece, átrio que fibrila. Revisão foca nos mecanismos moleculares que explicam por que o envelhecimento é o principal fator de risco para fibrilação atrial: inflamação, fibrose, disfunção mitocondrial e acúmulo de amiloide.
🧠 Stent leva vantagem na estenose carotídea assintomática. No estudo CREST-2, pacientes com estenose ≥70% sem sintomas recentes tiveram menor risco de AVC ou morte em 4 anos com stent + tratamento clínico intensivo, comparado ao tratamento clínico isolado. Já a endarterectomia não mostrou benefício significativo adicional.
⚡️ QT longo: uma chance de prevenir o irreversível. Em revisão publicada no NEJM, destaca-se a importância de reconhecer a síndrome do QT longo, condição genética subdiagnosticada, mas com terapias altamente eficazes.
🔪 Revascularização do miocárdio: revisão com autores de peso e conteúdo atualizado sobre hoje e o futuro na avaliação e tratamento da DAC obstrutiva.
📸 Imagem, imagem e imagem! Estudo OCCUPI-OCT mostra benefício clínico da aplicação de critérios para angioplastia coronária em lesões longas e vasos finos. Cabe a nossa classe lutar pelo pagamento deste método no SUS e saúde suplementar.
🔥 Combinação perigosa: Lp(a) alto e inflamação aumentam risco cardiovascular! Estudo conduzido com mais de 30 mil pacientes nos registros MESA e UK Biobank mostra que a presença simultânea de lipoproteína(a) elevada e níveis aumentados de interleucina-6 (IL-6), marcador de inflamação, identifica o grupo com maior risco de infarto, AVC e doença vascular periférica.






